歯科相談掲示板 歯科相談を投稿 回答者に参加 歯科相談室TOP


歯科相談掲示板TOPに戻る

タイトル [写真あり] 歯科医院によって診断結果が違う→抜歯すべきか否か
相談者 qpu
年齢 34 歳
性別 男性
地域 非公開
職業 非公開

当サイト上のいかなる情報も、利用者への資料提供を目的としたものであり、決して医師の診断を代替するものではありません。

弊社は常に利用者にとって有益な情報を正確に伝えるために万全を尽くしておりますが、特に医療・健康に関する情報は、全ての個人に一様に当てはまるわけではない個別性の高い情報が数多く含まれております。

したがって、当サイトの情報の利用並びにその情報に基づく判断においては、上記の特性および免責事項を十分理解した上で、また、現実的な利用においては、しかるべき資格を有する医師や薬剤師等に個別に相談するなど、ユーザーの皆様の責任において細心の注意を払って行ってください。

弊社は、当サイトのサービスにより、利用者及び第三者に直接的または間接的に生じた損害について、一切の責任を負いません。


質問 - qpu 2009/03/29(Sun) 02:56
回答1 - 山田 豊和 2009/03/29(Sun) 04:26
返信1 - qpu 2009/03/30(Mon) 00:52
回答2 - 佐藤 修一郎 2009/03/30(Mon) 10:15
回答3 - 櫻井 善明 2009/03/30(Mon) 14:12
回答4 - 松元 教貢 2009/03/30(Mon) 14:17
返信2 - qpu 2009/04/01(Wed) 00:22
回答5 - 櫻井 善明 2009/04/01(Wed) 09:33
返信3 - qpu 2009/04/03(Fri) 22:31
回答6 - 櫻井 善明 2009/04/04(Sat) 09:19
回答7 - 佐藤 修一郎 2009/04/04(Sat) 09:24
返信4 - qpu 2009/04/07(Tue) 22:55
回答8 - 櫻井 善明 2009/04/08(Wed) 09:01
回答9 - タカタ 2009/04/08(Wed) 09:34
回答10 - 櫻井 善明 2009/04/08(Wed) 11:20
回答11 - 佐藤 修一郎 2009/04/08(Wed) 12:27
返信5 - qpu 2009/04/15(Wed) 01:46
回答12 - 松元 教貢 2009/04/15(Wed) 05:31
回答13 - 佐藤 修一郎 2009/04/15(Wed) 07:43
回答14 - 櫻井 善明 2009/04/15(Wed) 09:30
返信6 - qpu 2009/04/21(Tue) 00:05
回答15 - 佐藤 修一郎 2009/04/21(Tue) 00:17
返信7 - qpu 2009/04/21(Tue) 00:46
回答16 - 櫻井 善明 2009/04/21(Tue) 09:43


質問 qpu 2009/03/29(Sun) 02:56

はじめまして。
初めての相談をさせて頂きます。

かかりつけのA歯科で、二本の歯を抜歯したほうがよいと診断されたが、B歯科では一本抜歯のみで大丈夫と診断されました。

問題の歯は、右上6番で痛みはなく、

1.以前A歯科で8年以上前に治療して、銀歯を被せてある。

2. 以前からA歯科で歯周病と診断されていたが、通院をせず放置していた。

3.1年位前に歯茎に腫れ・できもの?がたびたびできていたが、放置していた。

4. 歯茎が痩せていて、銀歯から歯がでてしまっている。

5.2日前から、フィステル?か口内炎?のようなものができてしまった。

という状況です。
A歯科の診断では、

1.3つある歯根のうち1つが溶けている。

2.このまま放置しておくと、膿がたまって最悪の場合、鼻から膿がでてくる。

という診断結果がでてしまいました。

B歯科を受診するにあたり、セカンドオピニオンも考えましたが勉強不足の為よく分からなかったので、普通に初診として受診してしまいました。その際、A歯科での診断結果は告げずに診てもらったら特に問題はなく、治療して銀歯を被せ直すだけで大丈夫との事でした。

現在はB歯科で他の歯の治療を進めていますが、本当
にこれで良かったのか悩んでいます。

私のなかではインプラントも視野に入れていた為、

1.A歯科はインプラントの専門医がいなくて、アウトソーシングの為か治療費が高額なので治療をやめてしまった。

2.A歯科になんとなく不信感を持ってしまった。

このような理由から、B歯科を受診してしまいA歯科・B歯科ともに多少の罪悪感があり、いまさらB歯科にもA歯科の診断結果がこうだったと言うのも失礼かと思いどうしたらいいか決めかねています。

・抜歯するか否かの判断基準はどこですか?

・やはり1度、大学病院などでサードオピニオンを受けてみるべきでしょうか?

・アウトソーシングの場合、治療費が倍以上違うのは普通ですか?

・サードオピニオンを受ける場合はB歯科に許可?が必要ですか?

・B歯科に正直にお話をして再検査などを依頼できるのでしょうか?

長文で、しかもこんな情けない相談で申し訳ありませんが、どうか
回答をよろしくお願い致します。

画像1DSCF0894.JPG 画像2DSCF0885.JPG
回答1 山田 豊和 2009/03/29(Sun) 04:26

山田歯科医院(兵庫県姫路市)の山田です。

qpuさまおはようございます。

6番が抜歯するべきなのか治せるのか診断結果が違うため不安を感じていらっしゃるのですね。

写真を拝見した所仰るように歯周病が絡んでいるように見えますがその程度がどれくらいかは写真では判断いたしかねます。

フィステルについては写っているようにも見えますがはっきりとはわかりません。

根の吸収についてはレントゲンで確認することになります、もし根の外部吸収があれば抜歯せざるを得ないと思います。

>・抜歯するか否かの判断基準はどこですか?

保存できるかどうかで決まってくると思います。

>・やはり1度、大学病院などでサードオピニオンを受けてみるべきでしょうか?

それも判断の手がかりになると思います。

>・アウトソーシングの場合、治療費が倍以上違うのは普通ですか?

わかりかねます。

>・サードオピニオンを受ける場合はB歯科に許可?が必要ですか?

気になさらないでもいいようにも思いますがどんなものでしょうか。

>・B歯科に正直にお話をして再検査などを依頼できるのでしょうか?

Drの性格と言い方によると思います。

参考になれば幸いです。

歯根の外部吸収 http://yamadashika.jugem.jp/?cid=146
返信1 qpu 2009/03/30(Mon) 00:52

山田先生、早速のご回答ありがとうございます。

やはりDrの気分を害してしまったら申し訳ないので、A歯科の事には触れずに、それとなく相談をしてみてからまた検討をしてみたいと思います。

心配性ですぐに疑心暗鬼になってしまいますが、多少前向きになれました。今後ともよろしくお願いします。
回答2 佐藤 修一郎 2009/03/30(Mon) 10:15

佐藤歯科医院(大阪市北区)の佐藤です。

『治療して銀歯を被せ直すだけで大丈夫との事でした。』
根管治療で治る可能性があると判断されたのでしょう。
ただ、A歯科とB歯科の判断基準がわからないので、
どちらが正しいのかは不明です。

一般に抜くと患者さんに言えば、
ほぼ自動的に患者さんからは嫌われるので
歯科医師として言いたくないことを
正直に告げているだけかも知れません。

大学病院等公的病院の補綴科、もしくは歯周病科で
診察を受けるのも非常にいい判断かもしれません。

インプラントの値段は自由ですので、
1億円でも10万円でも設定は自由です。

腕のいい先生は高いですし、
使用する材料によっても変わります。
もしかすると抜歯後に骨を作るような
処置や薬剤を使用するのか?
高度な処置が必要と判断されたので、
高額な査定になったのかも知れませんが、
診察をしておりませんので、判断、アドバイスは
しかねます。
回答3 櫻井 善明 2009/03/30(Mon) 14:12

ネクスト・デンタル(荒川区西日暮里)の櫻井です。

お二人の先生に同意です。

残念ながらこのお写真だけで「抜歯かどうかの判断」はできません。
最低でもレントゲン写真が必要ですし、ネット相談では確定診断はできません。


>・抜歯するか否かの判断基準はどこですか?

上述の通りです。


>・やはり1度、大学病院などでサードオピニオンを受けてみるべきでしょうか?

それもアリかもしれません。


>・アウトソーシングの場合、治療費が倍以上違うのは普通ですか?

これも解りかねます。
佐藤先生の意見に同意です。


>・サードオピニオンを受ける場合はB歯科に許可?が必要ですか?

今後、B歯科で治療を続ける意志がおありであれば、深刻されても良いとは思います。


>・B歯科に正直にお話をして再検査などを依頼できるのでしょうか?

大丈夫だと思いますよ。


お大事にどうぞ。
回答4 松元 教貢 2009/03/30(Mon) 14:17

松元教貢歯科医院(大田区山王)の松元です。

歯科用CTでの診査診断を検討されては如何でしょうか?

今日本全国で1000台稼動しているそうですから、探せばあると思います。

立体画像で見ていただければ、納得できるのではと提案します。
返信2 qpu 2009/04/01(Wed) 00:22

佐藤先生
タイヨウ先生
松元先生
ご回答ありがとうございます。

偶然にも現在通院しております「B医院」にも歯科用CTなるものがありました。

歯科用CTは「レントゲンでは見えなかったものが見えてくる」と何処かのサイトで見ましたが、具体的にはどういった点で優れているのですか?

また、歯根の外部吸収・膿の有無・歯茎の感染などの判断はつくのでしょうか?

仮に歯を保存する方向で治療が進んでも、悪化すれば骨がとけたりして周りの歯に悪影響になる危険性もありますか?

私は歯周病も患っているので、早めに抜歯しないと手遅れになるのではと危惧しております。

たくさんの質問を並べてしまい申し訳ありませんが、引き続き回答をよろしくお願い致します。
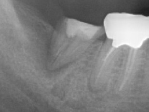
回答5 櫻井 善明 2009/04/01(Wed) 09:33

ネクスト・デンタル(荒川区西日暮里)の櫻井です。

>具体的にはどういった点で優れているのですか?

通常のレントゲンは横方向からの1面しか見えませんが、CTは上からも前からも見る事が出来ます。

例えば‥

画像1

2本の歯が写っていますね。
向かって左側の歯(7番)はクラウンが無く、根っこの周りがボヤ〜っと黒っぽく写っています。

向かって右側の歯(6番)はクラウンが被っています。そして、2本ある(ように見える)根っこのうち、左側の根っこの先が少し黒くなっているように見えます。


画像2

同じ歯をCTで上から見たところです。

左側の歯は根っこがパックリ割れている事が確認できます。
そして、周囲の骨が溶けて無くなっているのが解ります。

右側の歯は2本の根っこの中に神経管(根管)が4つあることがわかります。
そのうち1本の根管にはお薬が詰まっていない事がわかります(白い丸がお薬です)。


このように3次元的に見る事で平面的なレントゲンでは解らなかった事がCTでは(素人さんでも)解るようになるのです。

この画像診断から‥

 7番は残念ながら抜歯。
 6番はお薬の入っていない根っこを治療すれば良い。

と言う治療計画が立てられます。


もちろん、診断能力に優れたドクターであれば平面のレントゲンだけでも判断はできるのですが‥。

画像12009y04m01d_091836875.jpg
返信3 qpu 2009/04/03(Fri) 22:31

タイヨウ先生へ

再度、ご回答ありがとうございます。
申し訳ありませんが、画像2が添付されていないので比較することができません。

お忙しいとは思いますが、画像2を添付して頂けないでしょうか?
ひょっとすると、画像のサイズが大きすぎていませんか?

また、CT撮影は当然、自由診療ですよね?相場はだいたいいくら位ですか?

よろしくお願いします。
回答6 櫻井 善明 2009/04/04(Sat) 09:19

ネクスト・デンタル(荒川区西日暮里)の櫻井です。

ゴメンナサイ。

再アップします。


>CT撮影は当然、自由診療ですよね?相場はだいたいいくら位ですか?

5000円〜25000円くらいだと思います。
撮影条件(照射範囲)によって違うと思います。

ウチは小さく撮る(37mm×50mm)ので5000円ですが、大きく撮る(80×80mm)だと金額が上がるでしょうね。

大きく撮ると1回で上下顎全体を見る事が出来るのですが、当然、被爆量も多くなります。

小さく撮ると被爆量は少ないのですが、全体を把握する必要がある場合には何回かに分けて撮る必要があります。

画像12009y03m07d_134149437.jpg
回答7 佐藤 修一郎 2009/04/04(Sat) 09:24

佐藤歯科医院(大阪市北区)の佐藤です。

根管治療の際のCT撮影は保険が効きませんので、
自費診療となります。
また、同一の医療機関で治療を行うと、以降の治療も
すべて保険では出来ないので、CTを撮られるようであれば
撮影は治療とは違う医療機関で行って下さい。

タイヨウ先生は保険治療をされませんので、
問題ないのですが、、、
返信4 qpu 2009/04/07(Tue) 22:55

タイヨウ先生
佐藤先生

お忙しいところ、ご回答ありがとうございました。

CT撮影は金銭的には問題なさそうですが、現在通院中の歯科医院ではまずかったのですか。危うく頼んでしまうところでした。佐藤先生に助けられました。

CT撮影をお願いすると言うことは、サードオピニオンを受けてみることになりますね。結局、決断をするのは自分なので慎重に選択したいと思います。


各先生方へ
お忙しいところ申し訳ありませんが、引き続き返信2の「CT撮影は歯根の外部吸収・膿の有無・歯茎の感染などの判断はつくのでしょうか?」の回答をよろしくお願い致します。
回答8 櫻井 善明 2009/04/08(Wed) 09:01

ネクスト・デンタル(荒川区西日暮里)の櫻井です。

>歯根の外部吸収・膿の有無・歯茎の感染などの判断はつくのでしょうか?

状態(病巣の大きさ)にもよりますし、CTの性能にもよります。

2mmを超える大きさの病巣であればおそらくどんなCT装置でも診断がつくと思います。

医科用のCTが最小スライス幅1mm前後なのに対し、歯科用CTは0.1mm以下です。
従って、「医科用では診断がつかなかったが歯科用ではくっきり見える」と言う事もあります。
回答9 タカタ 2009/04/08(Wed) 09:34

高田歯科 (神戸 三ノ宮・須磨)のタカタです。

qpuさん。

私もCTを多用しますが、ちょっと逆の意見を書きますと、

「CTがあるから 分かる! 治る!」

とは思わないことです。

あくまで、通常レントゲンや、視診、触診など、様々な診断方法の仲の一つの武器に過ぎません。

CTはウソの映像を写すことも忘れてはなりません。

放射線科のDrが読影すると、「ハ!なんだこりゃ、ちゃんと撮れてないじゃん!」
ということは、しばしばあります。

レントゲン読影が得意なDrがCT画像を見る場合と読影素人が見る場合でも診断は大きく異なります。

総合的な診断が必要ですから、 あまり道具に振り回されずに冷静にセカンド サード オピニオンを受けてくださいね。
回答10 櫻井 善明 2009/04/08(Wed) 11:20

ネクスト・デンタル(荒川区西日暮里)の櫻井です。

あ、確かに。

>「CTがあるから 分かる! 治る!」
>とは思わないことです。

ですね。


先日、CTのセミナーに行ってきましたが、演者の先生(どちらかと言うと根管治療よりインプラント専門の先生)が「CTで原因が分かったとしても、実際には治せない事が多いんだよねぇ‥」と語られていました。
回答11 佐藤 修一郎 2009/04/08(Wed) 12:27

佐藤歯科医院(大阪市北区)の佐藤です。

原因が判明するだけでもすごいことだと思いますよ。
患者さんにしても納得できるでしょうし。

「CT撮影は歯根の外部吸収・膿の有無・歯茎の感染などの判断はつくのでしょうか?」
であれば、100%ではないけど、重要な情報が取れる確率は
非常に高いとアドバイス致します。
返信5 qpu 2009/04/15(Wed) 01:46

遅くなってしまいましたが、

タイヨウ先生、タカタ先生、佐藤先生
ご回答ありがとうございました。

お忙しいにもかかわらず、とてもスピーディーにご回答いただき頭が下がります。とても感謝しております。

先生方がおしゃるように、CT撮影は100%ではないけど、とても重要な判断材料になるのですね。勉強になりました。

現在は、右下6番を半分抜歯をして、その後は歯周病の検査・治療などをしてから、右下6番をブリッジする予定です。その後に問題の右上6番の治療にはいるので、まだ時間的には猶予がありそうです。

自分では右上6番の治療を始める前にサードオピニオンを受けてみようかなと思っておりますが、大学病院だと遠いので通院することになった場合、大変かなと尻込みしてしまいます。

ですが、先生方の励ましもありポジティブに考えてみようと思います。まだ時間がかかりそうですが、今後もよろしくお願いします。
回答12 松元 教貢 2009/04/15(Wed) 05:31

松元教貢歯科医院(大田区山王)の松元です。

全く話題が違いますが、分割ブリッジは予後があまり良くないし、繋がれる側の天然歯が健全であった場合、非常に勿体無いと思います。

健全な歯は削るべきではないと思いますので、その部位とかにもインプラントを検討される事を、余計なお世話かも知れませんが、書かせていただきます。

インプラントの歯の噛み合う相手が神経がない歯の場合、有意で割れて喪失する可能性が高い事が示唆されています。
今回の場合、理想は上下同部位インプラント治療、ではないでしょうか?


お大事に。
回答13 佐藤 修一郎 2009/04/15(Wed) 07:43

佐藤歯科医院(大阪市北区)の佐藤です。

私も松元先生のご意見と近い意見です。

できれば、分割抜歯→分割した残りを使ったブリッジ
これは長期安定が非常に難しいので、避けられた方が
ベターだと思います。
回答14 櫻井 善明 2009/04/15(Wed) 09:30

ネクスト・デンタル(荒川区西日暮里)の櫻井です。

僕もお二人の先生と同意見です。

ヘミセクションして中途半端に根を残すよりひと思いに抜歯してインプラントにしてしまった方が予後が安定すると(個人的に)考えています。
仮に健康な歯をブリッジの巻き添えにしてしまうような設計であればヘミセクブリッジはお勧めはしませんね‥。
返信6 qpu 2009/04/21(Tue) 00:05

また遅くなりまして、申し訳ありません。

松元先生
佐藤先生
タイヨウ先生

アドバイスをありがとうございました。

私も先生方の意見はベターだと思いますが、二本もインプラントにすると金銭的にきついのと、幸い?にも隣の歯は虫歯になってしまっているのでブリッジを選択してしまいました。

のちのちインプラントになってしまうのなら、早めにしてしまったほうが金銭的にもいいのかなとも思いましたが・・・。

今のところはブリッジに決定しておりますが、まだ時間があるので再検討してみたいと思います。

ちなみにブリッジは何度でも行なえるのですか?私の場合、半分の歯がもつ限りブリッジがとれてしまっても、その都度、再ブリッジできるのでしょうか?先生方のご意見をお聞かせください。

よろしくお願いします。
回答15 佐藤 修一郎 2009/04/21(Tue) 00:17

佐藤歯科医院(大阪市北区)の佐藤です。

歯の喪失理由が放置なので、
ブリッジにされても原因は解決してないのです。
ですので、短期〜中期的には、ブリッジの支えになる歯も
なくなるでしょう。


何度も出来る治療ではありませんし、
運が良くても一度か二度でしょう。
分割した歯であれば、たぶん今回が最初で最後だと思います。

一番治すべきところは、
『2. 以前からA歯科で歯周病と診断されていたが、
 通院をせず放置していた。

 3.1年位前に歯茎に腫れ・できもの?が
 たびたびできていたが、放置していた。』

ここにあると思いますので、何を選択するのかも含め、
再度検討される方が宜しいのではないか?と思います。

お手入れと定期的な検診態勢がなければ、
インプラントでも、ブリッジでもダメになると思われます。
返信7 qpu 2009/04/21(Tue) 00:46

佐藤先生、早速の回答ありがとうございます。
本当に早かったですね。頭が下がります。

佐藤先生のおしゃる通りです。
私は歯医者さんが苦手なので、以前にA歯科で治療を終えてから「もう二度と虫歯にはならないぞ」と思いブラッシングには力を入れていました。

にもかかわらずこういう結果になってしまい、自分の考えが甘かったと反省をしております。まさに「後悔先にたたず」です。

これからは徹底的に歯医者さん行き、治療していただこう思いました。
回答16 櫻井 善明 2009/04/21(Tue) 09:43

ネクスト・デンタル(荒川区西日暮里)の櫻井です。

>「もう二度と虫歯にはならないぞ」と思いブラッシングには力を入れていました。


これが「もう二度と歯医者には行かないぞ」となってしまったのだと思います。

逆ですので、ご注意を。


ウチの患者さん。
多くは「次のクリーニングはいつ来たらいいですか?」とウチに来るのが楽しみみたいですよ。

この記事へコメントを投稿、投稿した記事を編集・削除する際にはログインが必要です
一般会員の方は、IDとパスワードを入力してログインしてください

(携帯電話からは閲覧のみ可能で、投稿はできません)

ログインID
パスワード
  • IDとパスワードを忘れた方は こちら
  • 会員登録がお済みでない方は こちら
  • 回答者の方のログインは こちら


歯科相談掲示板TOPに戻る

copyright©2006- 歯医者/歯科情報の歯チャンネル All Rights Reserved.