歯科相談掲示板 歯科相談を投稿 回答者に参加 歯科相談室TOP


歯科相談掲示板TOPに戻る

タイトル レントゲンの黒い影
相談者 shikechi
年齢 20 歳
性別 男性
地域 非公開
職業 非公開

当サイト上のいかなる情報も、利用者への資料提供を目的としたものであり、決して医師の診断を代替するものではありません。

弊社は常に利用者にとって有益な情報を正確に伝えるために万全を尽くしておりますが、特に医療・健康に関する情報は、全ての個人に一様に当てはまるわけではない個別性の高い情報が数多く含まれております。

したがって、当サイトの情報の利用並びにその情報に基づく判断においては、上記の特性および免責事項を十分理解した上で、また、現実的な利用においては、しかるべき資格を有する医師や薬剤師等に個別に相談するなど、ユーザーの皆様の責任において細心の注意を払って行ってください。

弊社は、当サイトのサービスにより、利用者及び第三者に直接的または間接的に生じた損害について、一切の責任を負いません。


質問 - shikechi 2025/05/25(Sun) 19:58
回答1 - 柴田 (評価3.9) 2025/05/25(Sun) 20:06
回答2 - 松山 哲朗 2025/05/26(Mon) 21:51
返信1 - shikechi 2025/05/26(Mon) 22:58
回答3 - 井野泰伸 2025/05/27(Tue) 09:29
回答4 - 山田 豊和 2025/05/28(Wed) 09:58
返信2 - shikechi 2025/05/29(Thu) 09:45

  過去の質問 1 - 2025/07/20(Sun) 20:06 - [写真あり] レントゲンの黒い影は虫歯ですか?
  過去の質問 2 - 2025/05/20(Tue) 18:56 - [写真あり] 15歳、レントゲンで前歯4本の先に…
  過去の質問 他6件


質問 shikechi 2025/05/25(Sun) 19:58

こんにちは
お世話になります。

少し前に初めて行った歯科医院で
検診してもらったところ
虫歯なしの診断でした。
レントゲン、拡大鏡などで目視もしていただいたと思います。
最近、その当時のレントゲンが出てきてみていたら
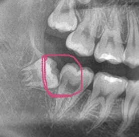
レントゲンで黒くなってるところがあるので虫歯では?と心配になりました。(赤丸のところ)

当時の先生に問い合わせたところ、
たまたまそのようにみえるだけで
虫歯はなかったと言われました。

その後、口腔外科で親知らずも抜歯しましたが、そこでも虫歯は何も言われませんでした。

虫歯じゃなくてもレントゲンで黒く映る事はあるんでしょうか?
 

画像1IMG_3251.jpeg
回答1 柴田 (評価3.9) 2025/05/25(Sun) 20:06

顕微鏡歯科シバタ(名古屋市守山区大森)の柴田です。

接線効果で黒くみえることもありますが気になるようですので再度受診してレントゲン撮影が必要かと思います。
回答2 松山 哲朗 2025/05/26(Mon) 21:51

歯科医師の松山です。

バーンアウトというのですが、歯科用レントゲンでの歯頚部の濃度増減現象を指します。
これは歯頚部が、くびれているために、濃度が増強されう蝕のように映るのです。
添付されたレントゲンは親知らずと第二大臼歯間ですが、第二大臼歯がう蝕ではないかと心配されているのですよね。私見では、バーンアウトではなく,う蝕にり患しているでしょう。
現役時代は、親知らず抜去後に目視であるいは探針でザラザラしていないか確かめたものです。
親知らず抜去が遅れそうなときは、サホライドという齲蝕予防液を、歯間に貼布します。
サホライドについては484920を参考にしてください。
返信1 shikechi 2025/05/26(Mon) 22:58

先生方お忙しいところ返信ありがとうございます。
このレントゲンは3年程前のものです。
少し遠方でしたが、精密検査(CTやマイクロスコープを使って検査)してくれる所で
虫歯なしと言われたので安心してました。
最近になってレントゲンの画像をみて、黒い影があると思いました。

この歯が虫歯で当時見落とされてたとしたら本当にショックです。

その後も口腔外科(親知らずの抜歯時)などでも
レントゲンを撮ってもらったり、定期的にクリーニング
してもらってるのにそこでも見落とされてるのかもしれませんね。
3年も経っていると虫歯も大きくなってるでしょうし…
なるべく早く診てもらおうと思います。
回答3 井野泰伸 2025/05/27(Tue) 09:29

E Eデンタル(愛知県豊橋市)の井野です。

この場所の虫歯の発見は目で見ても殆ど分からないと思いますよ。
 
また親知らずがこのように生えていると虫歯になりやすいので第2大臼歯を残したければ親知らずは抜かれた方が無難です。
 
もし第2大臼歯が虫歯だとこの部位の治療は困難を極めるため、予後も悪いです。
 
顕微鏡があるような歯科医院で相談された方がいいかもしれませんね。
 
おだいじに
回答4 山田 豊和 2025/05/28(Wed) 09:58

山田歯科医院(兵庫県姫路市)の山田です。

こんにちは。

レントゲン拝見しましたが個人的にはむし歯と思います、ただ心配なさっているようなので一度診てもらってください。
返信2 shikechi 2025/05/29(Thu) 09:45

先生方返信ありがとうございます。
虫歯ではない事を願いつつ
再度診てもらおうと思います。
ありがとうございました。

この記事へコメントを投稿、投稿した記事を編集・削除する際にはログインが必要です
一般会員の方は、IDとパスワードを入力してログインしてください

(携帯電話からは閲覧のみ可能で、投稿はできません)

ログインID
パスワード
  • IDとパスワードを忘れた方は こちら
  • 会員登録がお済みでない方は こちら
  • 回答者の方のログインは こちら


歯科相談掲示板TOPに戻る

copyright©2006- 歯医者/歯科情報の歯チャンネル All Rights Reserved.