歯科相談掲示板 歯科相談を投稿 回答者に参加 歯科相談室TOP


歯科相談掲示板TOPに戻る

タイトル 17歳右下5番抜歯後の対応、部分入歯かブリッジかインプラントか
相談者 tasitaka
年齢 17 歳
性別 男性
地域 千葉
職業 会社員(管理職)

当サイト上のいかなる情報も、利用者への資料提供を目的としたものであり、決して医師の診断を代替するものではありません。

弊社は常に利用者にとって有益な情報を正確に伝えるために万全を尽くしておりますが、特に医療・健康に関する情報は、全ての個人に一様に当てはまるわけではない個別性の高い情報が数多く含まれております。

したがって、当サイトの情報の利用並びにその情報に基づく判断においては、上記の特性および免責事項を十分理解した上で、また、現実的な利用においては、しかるべき資格を有する医師や薬剤師等に個別に相談するなど、ユーザーの皆様の責任において細心の注意を払って行ってください。

弊社は、当サイトのサービスにより、利用者及び第三者に直接的または間接的に生じた損害について、一切の責任を負いません。


質問 - tasitaka 2025/06/17(Tue) 19:39
回答1 - 柴田 (評価3.9に降下) 2025/06/17(Tue) 23:05
回答2 - 小林 誠 2025/06/18(Wed) 01:00
返信1 - tasitaka 2025/06/19(Thu) 10:52

  過去の質問 1 - 2025/07/16(Wed) 23:05 - [写真あり] 17歳、先天欠損の右下5番乳歯を抜…
  過去の質問 2 - 2019/07/09(Tue) 16:45 - [写真あり] 連結冠の片方を抜歯した後 ブリッジ…


質問 tasitaka 2025/06/17(Tue) 19:39

高校2年生の息子(17歳身長173cm標準体型)の歯の治療に関する相談です。

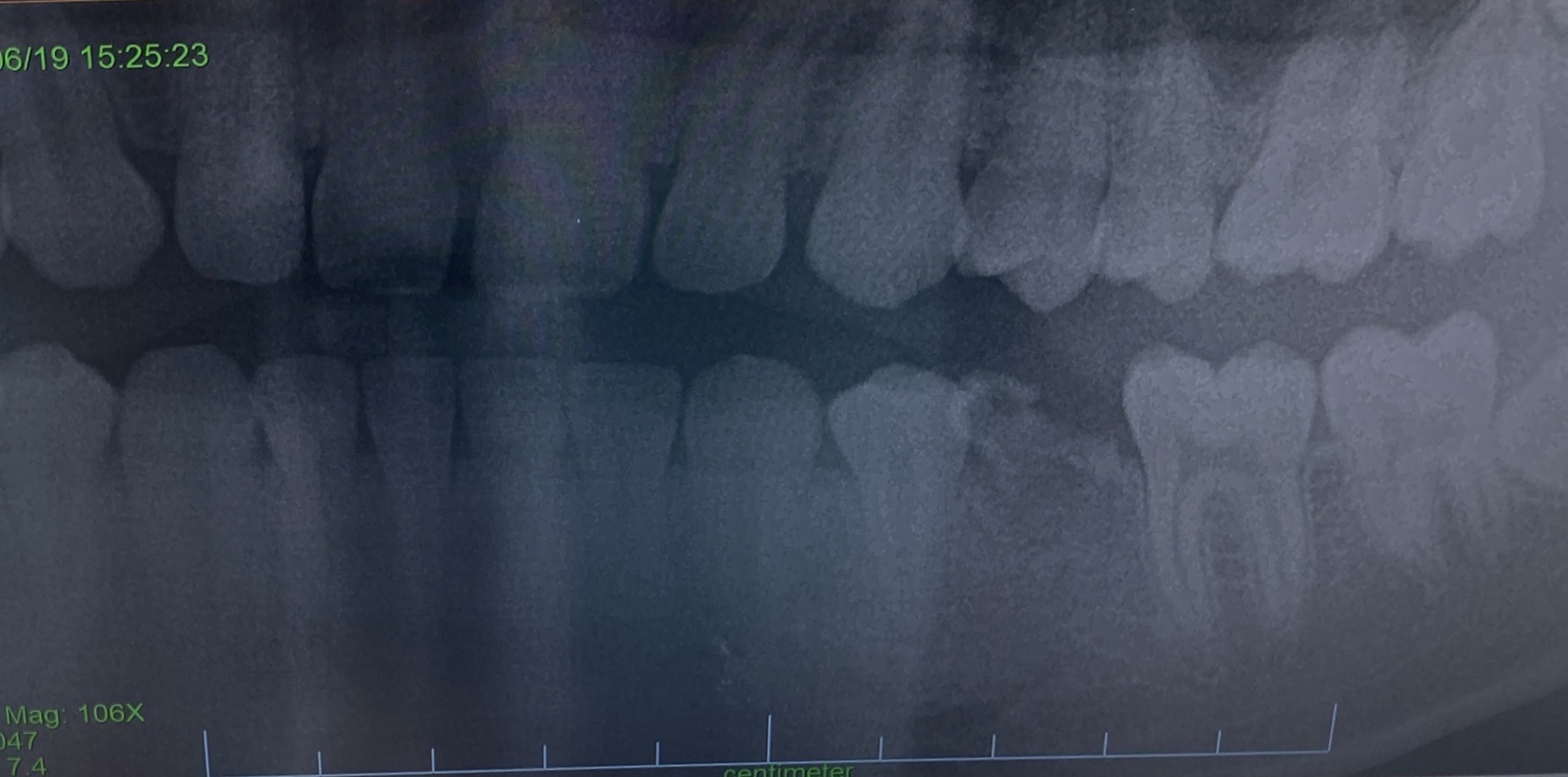
右下5番(添付写真)が先天性欠如歯で乳歯から永久歯に生え変わらず、乳歯が虫歯になっていたこともあり、先日抜歯しました。

通っている歯科では1.部分入歯、2.ブリッジ、3.インプラントの順で抜歯後の対応を提案されました。

どのような対応が適切か別の歯科でセカンドオピニオンをもらう予定ではありますが、一般論としてどの選択が望ましいかアドバイスを頂けると幸いです。

いずれの選択肢も万能ではなく有限の対応ではありますが、まだ成長期でもあり慎重に検討に検討したいと考えております。

画像1IMG_3228.jpg
回答1 柴田 (評価3.9に降下) 2025/06/17(Tue) 23:05

顕微鏡歯科シバタ(名古屋市守山区大森)の柴田です。

矯正という選択肢もあるかもしれないと思います。

年齢的には入れ歯かと思います。
回答2 小林 誠 2025/06/18(Wed) 01:00

小林歯科クリニック(渋谷区神宮前)の小林です。

向かって右側に写っていますから、右下5番ではなく、左下5番が先天性欠如しているのですね。

40歳未満の方でしたら、親知らずの移植という選択肢もあるかもしれないと思います。
ただし、ドナーとレシピエント両方の詳細な診査が必須ですし、移植を扱っている施設が意外と少ないかもしれません。

20歳以上の方でしたら、殆どの場合、インプラント治療が第一選択になるかと思います。
ご子息が17歳なのでしたら、成長が一段落する20歳ぐらいになるまでは、部分入れ歯で繋いでみてはいかがでしょう。

健康な歯を削ってまでのブリッジと、放置は、私は勧めません。
インプラント治療に移行するまでの僅かな期間だからと、放置してしまうと、左下6番・7番が近心傾斜してしまう可能性があります。
返信1 tasitaka 2025/06/19(Thu) 10:52

年齢考慮すると部分入歯が現実的な選択肢と理解しました。
ご回答感謝します。

この記事へコメントを投稿、投稿した記事を編集・削除する際にはログインが必要です
一般会員の方は、IDとパスワードを入力してログインしてください

(携帯電話からは閲覧のみ可能で、投稿はできません)

ログインID
パスワード
  • IDとパスワードを忘れた方は こちら
  • 会員登録がお済みでない方は こちら
  • 回答者の方のログインは こちら


歯科相談掲示板TOPに戻る

copyright©2006- 歯医者/歯科情報の歯チャンネル All Rights Reserved.