歯科相談掲示板 歯科相談を投稿 回答者に参加 歯科相談室TOP


歯科相談掲示板TOPに戻る

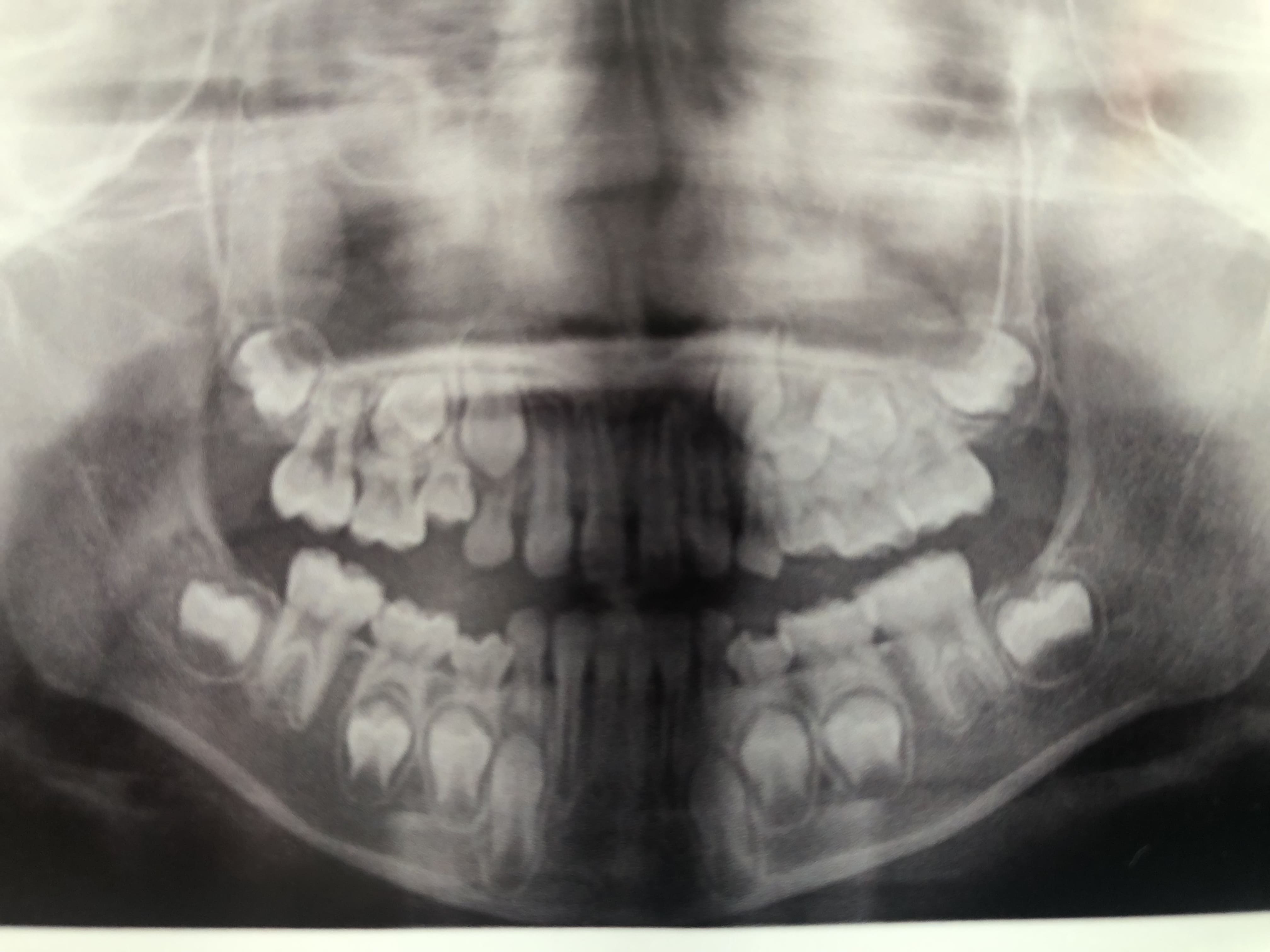
タイトル パノラマ写真にて上顎3番高位・異所萌出の兆候について
相談者 まーさん0325
年齢 41 歳
性別 男性
地域 埼玉
職業 自営業・フリーランス

当サイト上のいかなる情報も、利用者への資料提供を目的としたものであり、決して医師の診断を代替するものではありません。

弊社は常に利用者にとって有益な情報を正確に伝えるために万全を尽くしておりますが、特に医療・健康に関する情報は、全ての個人に一様に当てはまるわけではない個別性の高い情報が数多く含まれております。

したがって、当サイトの情報の利用並びにその情報に基づく判断においては、上記の特性および免責事項を十分理解した上で、また、現実的な利用においては、しかるべき資格を有する医師や薬剤師等に個別に相談するなど、ユーザーの皆様の責任において細心の注意を払って行ってください。

弊社は、当サイトのサービスにより、利用者及び第三者に直接的または間接的に生じた損害について、一切の責任を負いません。


質問 - まーさん0325 2025/07/16(Wed) 13:41
回答1 - Dr.ふなちゃん 2025/07/16(Wed) 15:13
返信1 - まーさん0325 2025/07/16(Wed) 16:07
回答2 - Dr.ふなちゃん 2025/07/16(Wed) 20:45
返信2 - まーさん0325 2025/07/17(Thu) 11:08
回答3 - Dr.ふなちゃん 2025/07/17(Thu) 15:12
返信3 - まーさん0325 2025/07/17(Thu) 16:00
回答4 - 山田 豊和 2025/07/18(Fri) 16:42
回答5 - 山田 豊和 2025/07/18(Fri) 16:42
返信4 - まーさん0325 2025/07/19(Sat) 10:58

  過去の質問 1 - 2025/07/28(Mon) 15:13 - [写真あり] 9歳、パノラマにて上3番高位・異所…
  過去の質問 2 - 2025/07/07(Mon) 15:14 - 小学3年、欠損歯の乳歯が抜けた後の対応について
  過去の質問 他7件


質問 まーさん0325 2025/07/16(Wed) 13:41

先日、9歳女子がパノラマ写真を撮影した際に犬歯がやや内側(舌側)に位置しているように見えるため、萌出スペースの不足が懸念されます。
と言われ高位・異所萌出の兆候ありと診断されました。
外観上は結構隙間があるのですがこのパノラマから萌出スペースの不足で異所萌出の兆候はありそうですか?

画像1IMG_4739 (1).jpeg
回答1 Dr.ふなちゃん 2025/07/16(Wed) 15:13

船橋歯科医院(岡山市北区)の船橋です。

こんにちは。

右上の永久歯の数に問題はないという診断でしたか?

いずれにしろ、将来的に矯正が必要になるように想像します。

今できることがないかお尋ねになっておくのも良いかもしれませんね。

また、ネットでは無診療診断となるため禁止事項になっています。

おかかりの歯科医から丁寧に説明をしてもらうと良いと思います。
返信1 まーさん0325 2025/07/16(Wed) 16:07

舟橋先生ありがとうございます。

右上4番欠損歯です。

将来的に矯正が必要になると想像するのは4番欠損からでしょうか?

その他の要因でしょうか?
回答2 Dr.ふなちゃん 2025/07/16(Wed) 20:45

船橋歯科医院(岡山市北区)の船橋です。

その他の要因もあります。 
詳細はおかかりの歯科医から十分な説明を受けてください。
返信2 まーさん0325 2025/07/17(Thu) 11:08

舟橋先生ありがとうございます。

その他の要因をさわりだけどうにかヒントだけでもご教授できませんか?
回答3 Dr.ふなちゃん 2025/07/17(Thu) 15:12

船橋歯科医院(岡山市北区)の船橋です。

咬合平面というのを良い状態に作ることは大切だと思いますが、それがうまくできていないように思います。
返信3 まーさん0325 2025/07/17(Thu) 16:00

舟橋先生ありがとうございます。
回答4 山田 豊和 2025/07/18(Fri) 16:42

山田歯科医院(兵庫県姫路市)の山田です。

こんにちは、

レントゲンから伺えることは左上の3番のスペース不足があるかもしれないという事です、ただこの時点のパノラマレントゲンで診断するのは時期尚早です、左上4番が生えるまで待つのがいいと思います。
回答5 山田 豊和 2025/07/18(Fri) 16:42

山田歯科医院(兵庫県姫路市)の山田です。

こんにちは、

レントゲンから伺えることは左上の3番のスペース不足があるかもしれないという事です、ただこの時点のパノラマレントゲンで診断するのは時期尚早です、左上4番が生えるまで待つのがいいと思います。
返信4 まーさん0325 2025/07/19(Sat) 10:58

山田 豊和先生

御丁寧な回答ありがとうございます。
こころより感謝いたします。

この記事へコメントを投稿、投稿した記事を編集・削除する際にはログインが必要です
一般会員の方は、IDとパスワードを入力してログインしてください

(携帯電話からは閲覧のみ可能で、投稿はできません)

ログインID
パスワード
  • IDとパスワードを忘れた方は こちら
  • 会員登録がお済みでない方は こちら
  • 回答者の方のログインは こちら


歯科相談掲示板TOPに戻る

copyright©2006- 歯医者/歯科情報の歯チャンネル All Rights Reserved.