| 質問 | 
            ブリッジ嫌い 2011/05/05(Thu) 21:07 
             
初めて投稿します。よろしくお願いします。 
 
現在、歯列矯正を行っているのですが、現在の主治医の治療の仕方に疑問を持っているので、他の歯科医のセカンドオピニオンを受けたいと思っています。出来るならば私にとって最も適切な治療法を示していただければ助かるのですが、それにはどうしたらいいのか分からないのでご教示をお願いしたいと思います。 
 
私は、2010年1月に歯列矯正を始めて、2011年5月で1年5ヶ月になりますが、歯が動いているような気配はほとんどありません。主治医は、当初、2年くらいで治療が終わると言っていたのですが、素人目にも絶対に無理だと思われる状態です。 
 
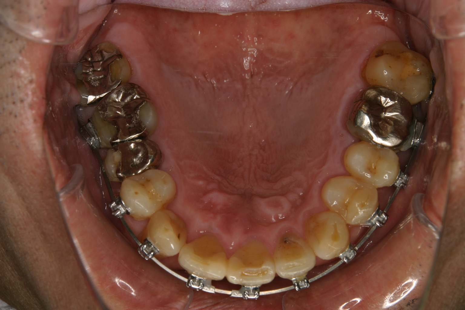
私は、現在56歳ですので骨が硬く歯は動きにくいと思います。私の歯並びは左右の奥歯が交差咬合で、特に右上の奥歯は4本とも内側に入っている状態です。これを普通の状態にするには右上の奥歯を1センチほど外に出さないといけないと思うのですが、今のところ1ミリ動いたかどうかというところです。そのうえ、右上の第二小臼歯にはブラケットが付いていません。右上の第二小臼歯は後回しなのでしょうか。そのためかどうか分かりませんが、右上の犬歯と右前歯2本は矯正前よりもいびつな状態となり、前歯がかみ合わない開口の状態となっています。   
 
私の主治医はデーモンシステムで治療を行っているのですが、最近読んだ歯列矯正の本には「デーモンシステムは、特殊なブラケットを装着することによってゆるやかに歯を移動する治療です。従来より数ヶ月短縮されるという触れ込みで話題になりましたが、残念ながら実際はそれほど短縮できないようです。また、軽い不正咬合ならこの治療方法で改善しますが、デコボコの強い中等度以上の不正咬合には適しません。」という記述があり私の歯がほとんど動いていないことと考え合わせると、デーモンシステムは私の治療に向いていないのではないかと思っています。 
 
最近、この病院の歯科衛生士が「私と同年代の男性はブラケットをはずすまでに5年くらいかかった。」と教えてくれたので、この主治医の元で治療する限り相当長期間かかることは覚悟しないといけないようです。 
 
このため、私は、2011年5月初旬にこの主治医に対して、「あなたが、当初言っていた2年で完治するという話は実現しそうに無いので、もっと速く完治する治療を受けたい。こちらの病院でそのような治療が出来ないのであれば、他の病院で治療することも選択肢としてある。」と伝えたのです。 
 
これに対して、この医師は「私は今でも、2年(あと7ヶ月)から2年半(1年3ヶ月)で治せる自信がある。あなたの治療が遅くなったのは、あなたに日常生活で歯を強くかむ癖があるからで、私のせいではない。」と言って、私の話を全く相手にしないのです。 
 
私はそれほど歯を強く噛む癖があるとは思っていないし、だいたい日常生活でど素人の患者が歯列矯正治療にマイナスとなるような行為をしないように徹底指導するのがプロの矯正歯科医の義務であると考えるのが常識と思われるにもかかわらず責任転嫁する姿勢は、この医師の治療では満足出来る結果が得られないと判断せざるを得ないものです。 
 
このため、この医師の治療が適切なものであるかを確認するためにセカンドオピニオンを受けたいと思うのですが、セカンドオピニオンの基本は主治医からの診療情報提供書に対してセカンドオピニオン医師が診療情報提供書によって回答するということになっているみたいなので、果たしてセカンドオピニオン医師が正しいと思っていても主治医に不利になるような意見を診療情報提供書に記入してくれるのか心配です。また、診療情報提供書以外に私にとって適切な治療方法を示すような文書を作ってもらえるのかどうかも併せてご教示ください。 
 
長文になりましたがよろしくお願いします。  | 
          
          
            | 回答1 | 
            伊藤 雅大 2011/05/06(Fri) 07:53 
             
            
             まずもう一度現在の担当医に、現在までの進行状況、今後の見通しを再確認してみてください。そのときにお感じになられている疑問をぶつけてみてください。 
 
担当医はほぼ予定通り終了できるといっているようですので、信頼してみてもいいのではないですか。 
 
お互いに感情的にならず、冷静な話し合いができるといいですね。 
 
 
 
デーモンに関しては、私は使っておりませんが、過小評価も、過大評価もすべきではないと思います。 
 
個人的には右側が反対被蓋しているようですので、この改善をデーモンだけで行うのは効率が悪いのではないかと思いますが、一方現在開咬になっているようですので、このような場合にはデーモンのようなロウフリクション、ロウフォースタイプのブラケットは有利だと思います。 
 
右側の反対被蓋の改善途中には一時的に開咬傾向が出てくることは考えられます。 
 
 
それでも不安感があったり、疑問が多いようでしたら、セカンドオピニオンを求めていいと思います。 
 
現在の担当医から資料を借り受けたり、文書を書いてもらうことができればいいのですが、全くなくても相談にのってくれる矯正医はたくさんいるはずです。      
    
    
    
    
             | 
          
          
            | 回答2 | 
            大原 輝久 2011/05/06(Fri) 14:20 
             
            
             どの部位を優先的に治療していくかなど、細かい治療のステージは矯正医によって様々だと思います。なので、今気になさっているところも、最後の最後で改善するかもしれません。あくまでも直接診ていない状況でのコメントとして受け取って下さい。 
 
担当医とはちょっとギクシャクしてしまいましたか?言った言わないの議論になると思いますが、私は初診時に2年で治すとは言った事がありません。それでも患者さんは2年というキーワードのみをクローズアップしてくる場合があります。ブリッジ嫌いさんがそうだと言ってる訳ではないのでご容赦下さい。 
 
当院でもセカンドオピニオンの患者さんがいらっしゃいます。当院に限らず、文書、資料が無くても、現況と経緯を聞けば概ね理解できると思います。もちろん、資料があればもっといいのですが・・・ 
 
矯正治療中はただでさえストレスですから、早く解放される事を願っております。      
    
    
    
    
             | 
          
          
            | 返信1 | 
            ブリッジ嫌い 2011/05/07(Sat) 01:07 
             伊藤先生、早速の回答ありがとうございます。 
 
本日、担当医と話してみました。 
 
担当医は、「治療前に話していたように、遅くとも2年半以内には完治する自信がある。」と言うので、 
 
私が、「治療開始から1年5ヶ月経っているが交差咬合の奥歯は1ミリも動いていないように見える。」と言うと、 
 
担当医は、「ミクロン単位でも動いていることになる。」と言うのです。 
 
私が、「それでは、2年半以内に完治させることは難しいでしょう。」と言うと、 
 
担当医は、「医療行為に絶対というものはないから、遅れる可能性はある。」と頼りない返事が返って来るのです。 
 
担当医は、とにかく「まだ2年半経っていないじゃないか。文句があるなら2年半たってから言ってくれ。」というのですが、1年5ヶ月で1ミリも動いていないのに、1年1ヶ月で10ミリも動くなどと言うことがあるはずがないので、簡単に担当医の言うとおりに行動できません。 
 
私としては、デーモンシステムは若い男性、女性、咬合異常が軽い人に向いている治療法じゃないかと思うので、私のように骨が硬くて咬合異常が強い者が、このまま、デーモンシステムだけで治療したとしても完治までに一体何年かかるか想像もつかないというのが正直なところです。 
 
このため、今後、どういう治療が私に適しているかを確認するため、他の医師のセカンドオピニオンは絶対に必要だと思っています。 
 
 
 
 
 
大原先生、お忙しいところ回答いただきありがとうございます。 
 
 
おっしゃるとおり、歯列矯正が完了するまでは部分的に不揃いな部分が出ることは仕方がないと思っていますし、最後にちゃんとなれば問題ないのですが、それが何年先になるか全く見通せないところが困っているところです。 
 
 
私も歯列矯正の期間はかなり個人差があることは承知しています。担当医から2年から2年半で完治すると説明されたときは、正直言って早いなと驚きました。 
 
一般的に、若い女性や子供が2年くらいと言われていますから、私のようなオヤジは3、4年かかると思っていましたので。 
 
しかしながら、1年5ヶ月経っても1ミリも動いていない現実を目にして、担当医の説明が単なるセールストークであったと言うことだけでなく、今のペースで行くと10年はかかるということが分かってきたことです。 
 
1年5ヶ月で1ミリも動いていないのに、後10ミリ動かすとなると10年くらいかかる可能性があります。 
 
動かす対象は左右の奥歯4本ずつです。最も大きくて動きにくいといわれる歯ですし、右の犬歯も動かさないといけないのです。 
 
このまま、担当医の言うとおりにしていてはいつまで経っても歯は動かないと考えてもおかしくないのではないでしょうか。たとえ担当医と多少ギクシャクしても、今、自分にもっとも適した治療法を探さないと手遅れになると思います。 
 
複数のセカンドオピニオンを求めることになるかもしれません。  
             | 
          
          
            | 回答3 | 
            伊藤 雅大 2011/05/07(Sat) 08:29 
             
            
             もちろん矯正は医療行為ですから、2年といっても必ず2年で終わることができないこともあります。逆に早く終わることができることもあります。 
 
デーモンが若い方に向いている治療法だとは思いません。大人の方にも用いられ、大勢の方が治療されています。 
 
さらに本当に1年5ヶ月で1ミリも動いていないのでしょうか。治療前の模型、レントゲンなどで確認されたほうがいいと思います。 
 
なるべく冷静に話し合いされることを希望します。      
    
    
    
    
             | 
          
          
            | 回答4 | 
            大原 輝久 2011/05/07(Sat) 10:48 
             
            
             私は担当医を擁護している訳ではないので誤解なきようお願いいたします。ブリッジ嫌いさんの説明を聞く限りでは、担当医は少々説明が足りないような気がします。 
 
術前の資料を請求して、数件まわられてから納得されるのがいいかもですね。私も以前、信用を失っているような方がいらしたので、術前模型を渡してセカンドオピニオンを即したことがあります。その後は、しっかり信頼関係を取り戻し、いい関係を築けました。 
 
いい方向へ向く事を願っております。      
    
    
    
    
             | 
          
          
            | 返信2 | 
            ブリッジ嫌い 2011/05/07(Sat) 22:29 
             伊藤先生、朝早くからの回答ありがとうございます。 
 
今までの治療期間で、どの歯がどのくらい動いたのか、後どのくらい動いたら治療終了となるのかという具体的な数字(ミリorミクロン)については、担当医からは何も聞いていません。 
 
確かに、こういう正確な数字がはっきりしないと治療終了の時期を見極めるのは難しいですよね。 
 
幸い、担当医からセカンドオピニオンを得る承諾をいただきましたので、なるべく早いうちに、セカンドオピニオン医師が希望する資料で担当医の承諾が得られた資料(術前模型、レントゲン、写真、カルテ、等)によって、どの歯がどのように動いていてそれが適切なのか、今後、どの程度動いてどのくらいの期間で治療終了となるのかなどをセカンドオピニオン医師に調べていただきたいと思っています。 
 
この際のセカンドオピニオン医師の診断で、治療終了の時期がかなり正確に推定されることを期待しています。 
 
 
以前、歯列矯正の治療を受ける前に相談した医師から「デーモンシステムは、ブラケットが違っているだけで、基本的な歯を動かすメカニズムは一般の矯正装置とそれほど変わらない。」と聞いたような気がするのですが、そういうことなのでしょうか。 
 
いずれにしても、セカンドオピニオン医師の客観的な意見が出れば両者ともに従わざるを得ないので、それなりに落ち着くところに落ち着くのではないかと思っています。 
 
 
 
大原先生、再度の回答をいただきありがとうございます。 
 
前回の投稿で、最後に「複数のセカンドオピニオンを求めることになるかもしれません。」などと書いていますが、あれは間違いです。 
 
前回の投稿では、矯正歯科の先生の回答を何とかうまく理解し、自分の歯列矯正の治療の状況を何とかうまく文章で表現出来ないかと悪戦苦闘していたら、最後は頭がボーっとしてしまい、複数のセカンドオピニオンを求めてその中から自分に合った治療法を選択することになるのかなと思いあのような表現にしました。 
 
しかしながら、現在治療中の歯列矯正は、何か特別な症状があったり治療法を使っているというものでも無いので、セカンドオピニオンとしての診断がそれほど大きく違うということは考えにくいと思いますし、セカンドオピニオンを得るには金も時間も手間もかかると思うので、出来れば一つの病院で終わらせたいと思っています。 
 
担当医の説明不足ということについてですが、大原先生がおっしゃるとおり、担当医の治療法で疑問に思うところを、セカンドオピニオン医師に聞くしかないのではないかと思っています。 
 
来週中にセカンドオピニオンを得る手続きをする予定になっていますので、出来るだけ公正中立な診断をしてもらえればと願っています。  
             | 
          
          
            | 回答5 | 
            大原 輝久 2011/05/09(Mon) 15:58 
             
            
             僕個人の感覚としては、デーモンを始めとするセルフライゲーションブラケットはデジタル。従来の結紮が必要なタイプはアナログだと考えております。 
 
最近では、セルフでありながら、結紮も出来るタイプもあるみたいですが、セルフである事のメリットが分からないので私はデーモンは使いません。 
 
私個人の見解です。      
    
    
    
    
             | 
          
          
            | 返信3 | 
            ブリッジ嫌い 2011/05/10(Tue) 22:22 
             大原先生、いつも参考になる回答をいただきありがとうございます。 
 
歯列矯正で歯を動かす方法としては、ワイヤーを使う場合は、従来の結紮が必要なタイプとデーモンのようなセルフライゲーションタイプの二つの種類が一般的なようです。 
 
当然ながら結紮が必要なタイプは、一つ一つの歯に対する力の加わり具合を微妙に調整しないといけないので、職人技的な能力を要求されるためアナログ的と言えるかも知れません。 
 
これに対して、セルフライゲーションタイプは歯に加わる力を全体的なバランスで弱く維持することによって動かしていこうとするシステムのようなので、この時点では人間が介在する余地はあまり無いためデジタル的と言えるかもしれません。 
 
しかしながら、最終的に歯の形を整えようとすると、歯と歯の間の微妙な力のかかり具合を調整するのはセルフライゲーションタイプでは難しいように思われるので、出来るだけ精度の高い結果を得たいと思うならばアナログ的な手法がいいのかも知れません。 
 
とは言っても、私は、現在、デーモンシステムで治療中なわけでして、職人技的な能力を持った従来の結紮が必要なタイプの先生に治療受けるのはかなわぬ夢という状態なのです。 
 
デーモンシステムを使う先生の中には腕のいい方がたくさんいらっしゃると思うのですが、私の担当医の治療には疑問点が多く、他の医師のセカンドオピニオンによってこの担当医の治療が適切であったとはっきりするまでは、この担当医に大事な自分の歯をまかせるのは難しい状態です。 
 
このため、セカンドオピニオンを得る必要があるのですが、セカンドオピニオン医師が資料を確認し本人を診断した場合、その所見を診断書として形に残していただけるのでしょうか。 
 
病院の先生からこう言われたからこうしたいと言っても、説得する材料が何も無ければ家族も担当医も判断しにくいと思うのですがどのようなものでしょうか。 
 
どなたでも結構ですので、回答をよろしくお願いします。  
             | 
          
          
            | 返信4 | 
            ブリッジ嫌い 2011/05/14(Sat) 11:19 
             いつもお世話になっています。 
 
5月の末にセカンドオピニオンを得ようと思っているのですが、 
 
 
 <本当に1年5ヶ月で1ミリも動いていないのでしょうか。治療前の模型、レントゲンなどで確認されたほうがいいと思います。 
 
という伊藤先生の指摘どおり、 
 
1年5ヶ月で何ミリ動いたのか、治療終了までにあと何ミリ動かす必要があるのかということを正確に測定していただける医療機関があればそういうところでセカンドオピニオンを受けたいと思います。 
 
また、現在私が通っている矯正歯科医は治療前の模型を二つ作って片方の治療前の模型で治療完了後の状況を説明していますが、これでは完成後の状況がイメージ出来ないので全く意味が無いと思うのですが、コンピューターシミュレーションか何かで治療完了後の模型を作っているような医療機関はないのでしょうか。 
 
いろいろ忙しいなか大変とは重いますがよろしくお願いします。 
 
ちなみに、大原先生のご意見どおり従来の結紮が必要なタイプを使われている先生のほうが詳細な意見が得られると思いますのでセカンドオピニオンは従来の結紮が必要なタイプを使われている先生にお願いしうようと思います。 
 
最近は質問の内容が分かりにくいのか、矯正歯科の先生には答えにくい質問が多いのか、なかなか回答してもらえません。どんな辛口の回答でもいいですからよろしくお願いします。  
             | 
          
          
            | 回答6 | 
            大原 輝久 2011/05/14(Sat) 16:03 
             
            
             歯型を採って治療前のものと比較すればはっきりした数値が出ますが、矯正は一本のみを動かすのではなく、包括的に動かしているので、それだけでは判断しづらいでしょう。 
 
治療にもステップがありますから、もしかするとこれからそこに取り組むのかもしれませんよ。 
 
歯型の歯を分割して治療後のシミュレーションをしているところはあると思います。が、あくまでも模型上でのシミュレーションですので、必ずしも一致する訳ではありません。よって、当院ではやっておりません。 
 
担当医への不信感が払拭され、いい関係で治療が進められる事を望みます。      
    
    
    
    
             | 
          
          
            | 返信5 | 
            ブリッジ嫌い 2011/05/16(Mon) 03:37 
             5月末に受けようと思っているセカンドオピニオンの参考になる意見をいただきありがとうございます。 
 
私としては、 
 
>本当に1年5ヶ月で1ミリも動いていないのでしょうか。治療前の模型、レントゲンなどで確認されたほうがいいと思います。 
 
という伊藤先生の指摘は的を射ていると思いますし、 
 
>歯型を採って治療前のものと比較すればはっきりした数値が出ます。 
 
と大原先生もおっしゃられているように、今一番大事なのはこれまでの治療がどうだったのかということをはっきりと数字で確認することだと思います。 
 
>矯正は一本のみを動かすのではなく、包括的に動かしているので、それだけでは判断しづらいでしょう。 
 
という大原先生の意見は最もですが、とにかく今最も大事なのはこれまでの実績だと思います。 
 
これまでの治療状況や具体的な数字によって、始めて、 
 
>治療にもステップがありますから、もしかするとこれからそこに取り組むのかもしれませんよ。 
 
ということになるのではないでしょうか。 
  
>歯型の歯を分割して治療後のシミュレーションをしているところはあると思います。が、あくまでも模型上でのシミュレーションですので、必ずしも一致する訳ではありません。よって、当院ではやっておりません。 
 
という大原先生のご意見ですが、最近では、コンピューターを使ったセットアップモデルによるシミュレーションを行っている病院もあるようです。これだといろいろな情報を解析してシミュレーションを行うことが出来るのでより制度の高いセットアップモデルが出来るようです。 
 
時間切れで映像が送れなくなったので、次の投稿で送ります。  
             | 
          
          
            | 返信6 | 
            ブリッジ嫌い 2011/05/16(Mon) 04:05 
             大原先生、いろいろとご迷惑をおかけして申し訳ないと思います。 
 
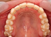
第1画像が治療前の画像で、第2画像がセットアップモデルの画像 
です。 
 
治療前に行ったシミュレーションでは、第二大臼歯(親知らずを除く奥から2番目の歯)を固定してセットアップ(予測模型)を行っているようですので、シミュレーションの画像では、第二大臼歯だけ取り残された画像になっていますが、実際の治療では第二大臼歯もコントロール出来ているようです。 
 
1回の投稿には2枚の画像しか添付できないので、続きはすぐに投稿します。  
 
画像1  画像2 
 
             | 
          
          
            | 返信7 | 
            ブリッジ嫌い 2011/05/16(Mon) 05:17 
             なかなか、慣れていないのでお見苦しいとは思いますがもう少しお付き合いください。 
 
返信6の画像1と返信6の画像2を合わせた返信7の画像1のような画像を使うと、治療前の歯がどのように動いて治療完成後の位置に移動したのか、非常に分かりやすいと思います。 
 
また、返信7の画像2は実際の完成画像ですが、術前に作成したセットアップモデル(返信6の画像2)と、実際に患者を治療した後の口腔内画像を比較すると、ほぼ同じで、シミュレーションの精度の高さが分かると思います。 
 
このような高度な技術を持っている病院が私の診断をやってくれるかどうかは未知数ですが、出来るだけお願いして現在の治療の進行状況と治療完成の見通しを誰にでも分かる形で示して欲しいと思います。 
 
私も担当医への不信感が払拭され、いい関係で治療が進められる事を望みたいところですが、今はストレスばかりが溜まって体調を壊しそうです。  
 
画像1  画像2 
 
             | 
          
          
            | 回答7 | 
            大原 輝久 2011/05/16(Mon) 17:53 
             
            
             そうですね。そこまでシュミレーションしている医院は存じ上げませんし、このサイトではそういった医院の斡旋も出来ないので、探していただくしかないのが現状です。 
 
結局お役に立てず申し訳ございません。 
 
ただでさえストレスのかかる治療です。良い方向へ行って欲しいばかりです。      
    
    
    
    
             | 
          
          
            | 返信8 | 
            ブリッジ嫌い 2011/05/17(Tue) 15:23 
             大原先生、迅速な回答ありがとうございます。 
 
コンピューターを使ったセットアップモデルによるシミュレーションを行っている病院は、日本にはほとんど無いみたいなので、そういう検査を受けたければ自分で探すしかないと思っています。 
 
こちらは、歯列矯正の素人ですから歯列矯正のプロである、大原先生のご意見は大いに役に立っているのでご安心ください。 
 
話は変わりますが、セットアップモデル以外に二点ほどお尋ねしたいと思います。 
 
一点目は、右上の第二小臼歯にブラケットが付けられていない問題です。担当医は私の質問に、 
 
「第一大臼歯の捻転が十分に取れていないために、ワイヤーを変えずに剛性を維持しながら、第二小臼歯との間のワーキングスパンを確保するために、当方が意図的に取り外しました。」と答えているのですが、 
 
私は、第一大臼歯に捻転(ねじれ)があるというのは全くの初耳ですし、「ワイヤーを変えずに剛性を維持しながら、第二小臼歯との間のワーキングスパンを確保するために、当方が意図的に取り外しました。」とあるのは一体どういう意味なのでしょうか。非常に分かりづらいです。よかったら、分かりやすく教えてください。 
 
「上記理由は取り付けたブラケットを外す際に、その理由につきましては説明しております。」と、この担当医は文章で述べていますが、こんな難解なことは説明されてもいませんし、説明されても分かりにくいと思います。 
 
「次回来院の際、捻転の改善を確認した上でブラケットを再装着することがカルテに記載もしてあります。」と、この担当医は、言ってもいないことを、さも言ったように述べていますが、カルテに書いてしまえば嘘でもなんでも通用するのですか。 
 
「セカンドオピニオンをお尋ねになった歯科医がその時点でみての、治療計画や治療内容の前後関係を把握できないために、意図が分からないことが十分に考えられます。」などと、セカンドオピニオン医師の公平中立さを妨害してまで、自己弁護をしています。 
 
私は、この担当医の言っていること(私の質問書に対する回答として文書で残っている。)は非常に疑わしいと思っており、結局、歯を動かす力が弱いので1本か2本ずつ動かそうとしているので、かなり時間がかかるのではないかと思っています。 
 
もう一点は、治療前に右の上下の犬歯が当たっているにもかかわらず、担当医は「様子を見ながら処置すると言うだけで1年以上何の処置もせず、このため、前歯が噛み合わない開口の状態になっていることです。この担当医は、デーモンの歯を動かす力は弱いので歯が当たると歯が動きにくくなると言うのですが歯が当たらないようにする処置はしようとしないのです。 
 
私には、治療が遅れる責任転嫁をやっているとしか思えません。 
 
まだまだ、大原先生に答えていただきたい問題点はたくさんありますので、今後ともよろしくお願いします。  
             | 
          
          
            | 回答8 | 
            大原 輝久 2011/05/18(Wed) 15:10 
             
            
             何か一つの作業をする際に、隣在歯のブラケットをわざと付けないでおくという手法は、しばしば行う事があります。 
 
カルテ記載は歯科医師によって様々です。後から書いたかどうかは分かりませんが、そこまでコメントしているとなれば、相当細かく記載されているのではないかと思います。 
 
矯正医によって治療方針、治療方法は様々です。ガイドラインを作るのも不可能でしょう。なので、私が他の矯正医の途中経過を見ても、他の矯正医が、私の治療を見ても、理解出来ない事はあると思います。 
 
要は治療結果が重要であり、過程はあくまでも過程にすぎないのです。これで終了。となって、あまりにも酷いケースにはコメントのしようがありますが、過程の段階では難しいですね。 
 
参考になったでしょうか…      
    
    
    
    
             | 
          
          
            | 返信9 | 
            ブリッジ嫌い 2011/05/23(Mon) 13:48 
             大原先生、参考になるご意見ありがとうございます。 
 
遅くなりましたが、9回目の返信をさせていただきます。 
 
 
>何か一つの作業をする際に、隣在歯のブラケットをわざと付けないでおくという手法は、しばしば行う事があります。 
 
そういうやり方はあるのかもしれませんが、問題はそういうやり方がその時点で必要だったか不明であるし、何の説明も無かったということです。ここらあたりのレベルになると素人向けの本には記載がありませんので、出来る範囲でもう少し調べてから質問したいと思います。セカンドオピニオンを依頼している医師にも確認したいところです。 
 
 
>カルテ記載は歯科医師によって様々です。後から書いたかどうかは分かりませんが、そこまでコメントしているとなれば、相当細かく記載されているのではないかと思います。 
 
本日、セカンドオピニオン用の資料を受け取ることになっているので、事実関係(治療の日付、担当医、応援の女医、歯科衛生士のうち誰が処置をしたのか、処置の内容、等)は確認するつもりですが、その場で長い時間を取る訳にもいかないので、カルテの内容自体は後で調べて(たぶん、英語だったみたいなので何とかなるでしょう。)セカンドオピニオンを得る医師に確認したいと思います。 
カルテ自体は重要な証拠かもしれませんが、誰がみても明らかな客観的な証拠と言う訳ではありませんので、何か別の対応を考えていかないとしょうがないと思います。 
 
>矯正医によって治療方針、治療方法は様々です。ガイドラインを作るのも不可能でしょう。なので、私が他の矯正医の途中経過を見ても、他の矯正医が、私の治療を見ても、理解出来ない事はあると思います。 
 
この点がこの件の最大の難関だと思います。矯正医によって治療方針、治療方法が様々であるため、他の矯正医が途中経過を見てセカンドオピニオンを述べると言っても,具体的な判断基準が無い状況では断定的なことは言いづらいと思います。 
 
>本当に1年5ヶ月で1ミリも動いていないのでしょうか。治療前の模型、レントゲンなどで確認されたほうがいいと思います。 
 
と、以前、伊藤先生が述べられていたように具体的な数字が必要だと思います。幸い、治療前の模型、レントゲンが手に入るので、現在の模型、レントゲンを作成すれば、治療開始以来どの程度歯が動いているのかという具体的な数字がはっきりすると思います。担当医はデーモン以外は使わないようですし、セカンドオピニオンを得ようと思っている医師はデーモンには詳しいみたいなので、治療終了の時期はかなり正確に出せるのではないかと思っています。 
 
 
>要は治療結果が重要であり、過程はあくまでも過程にすぎないのです。これで終了。となって、あまりにも酷いケースにはコメントのしようがありますが、過程の段階では難しいですね。 
 
この点もこの問題を解決するうえでの大きなネックとなっているところなのですが、セカンドオピニオンを頼んでいる医師が資料に基づいて判断する終了時期があまりに遅かったら現在通院している歯科医院との医療契約の解除が可能ではないかと考えています。私としては、この担当医が主張している治療期間の2倍程度の5年くらいを予想しています。 
 
この掲示板はあくまでも歯科医療についての相談窓口なので出していませんが、純粋な歯科医療以外でのこの担当医の対応には相当問題がありますので、過程の段階において不完全な治療結果を推測されるケースになるのではないかと思っています。  
             | 
          
          
            | 返信10 | 
            ブリッジ嫌い 2011/05/28(Sat) 19:14 
             大原先生、いつも回答いただきありがとうございます。 
 
セカンドオピニオン用の資料が手に入りましたのでいくつか質問させていただきたいと思います。一度の返信に1Mバイトの画像しか使えないので質問が断片的になることをご了承ください。 
 
まず第一点は、右上の第二小臼歯にブラケットが付けられていない問題です。 
 
担当医は私の質問に、 
「第一大臼歯の捻転が十分に取れていないために、ワイヤーを変えずに剛性を維持しながら、第二小臼歯との間のワーキングスパンを確保するために、当方が意図的に取り外しました。」と答えているのですが、 
 
少なくとも、画像で見る限り第一大臼歯には大きな捻転は見受けられないようですので、なぜ今この時期に、第一大臼歯の捻転にこだわり、第二小臼歯のブラケットを外して第二小臼歯だけ取り残すようなことをする必要性があるのでしょうか。 
 
デーモンはセルフライゲーションシステムですから、それまで矯正装置に不可欠だったワイヤーと歯を固定する結紮リングやゴムを使用していないと思います。このため、歯と歯の間の力加減はブラケットとワイヤーでかなり融通が利くと思います。 
 
 
デーモンの特徴であるセルフライゲーションシステムを生かすには、第二小臼歯にもブラケットを付けて、歯全体に加わる微妙な力を形状記憶合金のワイヤーとデーモン式ブラケットの遊びのある結紮でうまく処理出来るのではないかと思うのですがどのようなものでしょうか。 
 
この病院に応援に来ていた女医が、「右上の奥歯を動かすのにてこずっている。」とつぶやいていたのを覚えていますが、何か問題があるのでしょうか。  
 
画像1 
 
             | 
          
          
            | 回答9 | 
            大原 輝久 2011/05/28(Sat) 19:39 
             
            
             今までのコメントから、担当医を擁護していない事はお分かりだと思います。 
 
デーモンを使わない私は、デーモンを知らないと言って過言ではありません。頭で理解はしているものの、実際使ってみて初めてその善し悪しが見えてきますし、これはこうすれば動き易いというのも分かってくると思います。デーモンの総論的なところではお話し出来ますが、各論に入ると正直分かりません。申し訳ございません。 
 
私もそうですが、同じ方法で治療していても、ケースによってはなかなか改善しない事もあります。その際、次の一手があるはずです。それでダメなら、また次の、と引き出しを使って進めるものです。 
 
はっきりとは申せませんが、次の一手があるのかもしれません。      
    
    
    
    
             | 
          
          
            | 返信11 | 
            ブリッジ嫌い 2011/05/30(Mon) 17:59 
             大原先生、素早い回答ありがとうございます。 
 
第一大臼歯の捻転と第二小臼歯のブラケットを外したことについての因果関係が分からなかったのは残念でした。 
 
>何か一つの作業をする際に、隣在歯のブラケットをわざと付けないでおくという手法は、しばしば行う事があります。 
 
という大原先生のコメントがあったので何か聞けるかと思いましたが。 
 
 
>カルテ記載は歯科医師によって様々です。後から書いたかどうかは分かりませんが、そこまでコメントしているとなれば、相当細かく記載されているのではないかと思います。 
 
という、大原先生のコメントのあった日のカルテには淡々と業務内容が記されているだけで、この担当医が回答書で述べているような記載は、カルテには全くありませんでした。 
 
 
>矯正医によって治療方針、治療方法は様々です。ガイドラインを作るのも不可能でしょう。なので、私が他の矯正医の途中経過を見ても、他の矯正医が、私の治療を見ても、理解出来ない事はあると思います。 
 
>要は治療結果が重要であり、過程はあくまでも過程にすぎないのです。これで終了。となって、あまりにも酷いケースにはコメントのしようがありますが、過程の段階では難しいですね。 
 
大原先生の上記のコメントで気になったのが今回手に入ったセットアップ模型です。左右の上の奥歯を若干外に出してあるみたいなのですが、それでも右の奥歯は内側にかなり入った窮屈な完成模型になっているようです。これで本当に奥歯の交差咬合が治るのか心配ですし、右上の犬歯も全く削っていない状態のセットアップ模型となっています。 
 
このようなセットアップ模型では後でトラブルになる可能性があるので、今回のセカンドオピニオンではコンピューターを導入した3Dのセットアップモデルのような誰が見ても納得のいくようなセットアップモデルを作りたいと願っています。 
 
ああ、また、金がかかってしまう。 
 
セットアップ模型の容量が大きすぎて添付出来ないのが残念です。  
             | 
          
          
            | 返信12 | 
            ブリッジ嫌い 2011/06/03(Fri) 14:59 
             先日、セカンドオピニオンを受けてきました。 
 
結論から言うと、この掲示板で大原先生が答えられていることとほとんど同じようなものでした。 
 
私も、セカンドオピニオンを依頼された医師からもそのような答えが返って来るのではないかと思い、大原先生の回答にかなり食い下がったり、自分なりに勉強したりしてセカンドオピニオン医師から、自分に有利な意見を引き出そうと頑張ってみたのですが、なかなか難しかったですね。 
 
まず第一に、相手方の担当医が治療の終了を主張している2年半まであと1年2ヶ月あるということですね。とにかく、終わってみないことには他の医師から評価することは難しいと言ってましたね。 
 
しかしながら、私は、この医院の2人の医師がワイヤーの交換が終わった翌日からワイヤーが口の肉にささり、食べ物を噛むたびに痛くてたまらないという期間が一ヶ月も続くという治療とは言えない行為をされたので、こんなところでは2度と治療はしたくありません。そのうえ、証拠を隠すためカルテの改ざんまでしているのです。セカンドオピニオン医師にもそう言ったのですが、全く話になりません。 
 
こんなところで治療を続けたら、この掲示板に投稿している沢山の人のように、訳の分からない治療で何年も苦しむことになるのは目に見えているので、新しい方法を模索したいと思っています。  
             |