歯科相談掲示板 歯科相談を投稿 回答者に参加 歯科相談室TOP


歯科相談掲示板TOPに戻る

タイトル 生涯(あと50年位)噛みしめと食いしばりが治らない事もあるのでしょうか?
相談者 2ごう
年齢 39 歳
性別 男性
地域 非公開
職業 非公開

当サイト上のいかなる情報も、利用者への資料提供を目的としたものであり、決して医師の診断を代替するものではありません。

弊社は常に利用者にとって有益な情報を正確に伝えるために万全を尽くしておりますが、特に医療・健康に関する情報は、全ての個人に一様に当てはまるわけではない個別性の高い情報が数多く含まれております。

したがって、当サイトの情報の利用並びにその情報に基づく判断においては、上記の特性および免責事項を十分理解した上で、また、現実的な利用においては、しかるべき資格を有する医師や薬剤師等に個別に相談するなど、ユーザーの皆様の責任において細心の注意を払って行ってください。

弊社は、当サイトのサービスにより、利用者及び第三者に直接的または間接的に生じた損害について、一切の責任を負いません。


質問 - 2ごう 2016/11/06(Sun) 02:52
回答1 - 櫻井 善明 2016/11/07(Mon) 09:41
返信1 - 2ごう 2016/11/08(Tue) 15:14
回答2 - 櫻井 善明 2016/11/08(Tue) 16:07
返信2 - 2ごう 2016/11/09(Wed) 00:14
回答3 - 櫻井 善明 2016/11/09(Wed) 10:49
返信3 - 2ごう 2016/11/15(Tue) 04:40
回答4 - 小牧令二 2016/11/18(Fri) 15:33
返信4 - 2ごう 2016/11/20(Sun) 18:44
回答5 - 小牧令二 2016/11/24(Thu) 17:29
返信5 - 2ごう 2016/11/25(Fri) 12:59

  過去の質問 1 - 2019/10/12(Sat) 12:30 - 顎関節症、咬み合せ治療と開口訓練のどちらがより不…
  過去の質問 2 - 2017/10/24(Tue) 09:49 - [写真あり] 歯と歯茎の境目をブラッシングする際…
  過去の質問 他1件


質問 2ごう 2016/11/06(Sun) 02:52

元々生まれつき顎の音や耳鳴りの音に対して非常に不安を感じる体質です。生まれつき高機能自閉症でもあります。
20歳にロックコンサートに行って後遺症で耳鳴りが残って以来、耳鳴りに対する酷い不安の為に普通の生活が出来ずに抗不安薬を服用してます。
約20年前に左顎関節円板がズレた際は、自分で顎音があまりしない位置に関節円板を収める事によって、ほとんど不自由ない生活を送れてました。しかし、5年前より右顎から音がするようになってしまいました。右顎の音に全く慣れる事が出来ず、会話時に音が気になって思うように口を動かせず、はっきり口を動かして話すとズレた右顎関節円板が強く当たってしまって激痛を発したので、口腔歯科に行きました。顎に入った力を抜く為に、口内筋肉(右側)にキシロカイン注射を打って、その場で無理に大きく口の開け閉めをさせられたところ、左顎関節円板のズレが格段に大きくなってしまい、以降、右顎の痛みも増し、それまで全くなかった左顎が右顎と比較にならない程痛むようになってしまいました。
口腔歯科に行ってから症状が悪化したままの全ての原因は、左顎関節円板のズレが大きくなって、それに比例して右顎関節円板のズレもそれまでより少し大きくなり、それまでは右顎音だけだったのが、左顎音も多発して両顎から万年顎音が絶え間なく発するようになった事です。
生まれつきの顎音への不安のせいで、10秒間以上噛みしめないままの状態を維持させる事が出来ません。口内の感覚も生まれつき特殊で、口の中に歯ブラシを入れるだけで極度の不安になります。
口腔歯科に行って状態が悪化してからまだ2年半しか経っていませんが、歯磨き時にも顎音がして不安で身体のコントロールが出来ず、歯茎を強く磨いて歯茎が後退して歯の根が露出するほど歯が伸びてしまいました。万年、顎音と耳鳴りの不安しか頭になく、起きている間は、ほとんど噛みしめと食いしばり、顎音がしないように口に力を入れてしまっている為、万年歯同士が強くぶつかったり、歯と頬が強くぶつかって、万年多数の口内炎だらけです。

MRI検査もしましたが、ほぼ自覚通りでした。(左顎関節円板のズレは20年前からで独自のクセで一定の位置に押し込めていた為、石灰化して変形。右顎関節円板は左ほどではないが、ずれている。)
状態が悪くなる原因施行をした医師とも話し合い済みで和解済みです。
生涯不安薬を飲むにしても、生まれつき腸も特異体質で、耳鳴り発症時より既に19年間の投薬の影響で、腸が機能低下して、消化器科からも「将来、腸の手術をするにしても殆どの腸薬に酷いアレルギー体質なので、術後が思わしくないから手術もしたくない」と言われてます。

顎関節円板が今の状態になってから約2年半立ちますが、顎音への不安も噛みしめ頻度(顎音が怖い為、10秒に一度は噛みしめてしまう)も、歯同士が強く当たる頻度や当たりの強さも全く変わりません。おかげで、歯の伸びとグラつきと歯の根の痛みも日々増してます。
半年に一度の歯科医の検診では、「顎音や顎関節症が気になり過ぎて全く歯ブラシコントロールが出来てない。このまま行くと数年で全ての歯が一本残らずなくなる。」と言われてます。かと言って、腸の問題から不安薬は今以上には、全く飲めません。
口腔歯科からは、「生まれ持った感覚が原因で、生まれつきの体質のようなもので、生涯全く改善しないと思う。」とも言われました。耳鳴りに対する恐怖も19年経っても全く変化しないので、自分でも同じように感じてます。

ジストニア専門医で見てもらいましたが、「正確には心因性不随意運動。でも単に音が怖いという精神的不安が殆ど主な原因。初めて見た症例だが、ジストニアではない」との事でした。

私は医者が大嫌いです。
私を診たある口腔歯科は、初めての症例としながらも「人間は一般的には自然治癒力があるので、人間本来の能力からすると、顎関節症になったり、顎音が出るようになったり、顎関節症や顎音の状態が悪化したままになっても慣れるのが、一般である。」と言われました。
90歳まで生きるとして、起きている間の噛みしめ行為(約10秒に一回の割合)と歯同士の酷いぶつかり、口内の力が入るせいで生じる絶え間ない口内炎が全く改善しない場合、(精神科に多少の抗不安薬を貰いに行くのみで、)医者に行かず、口腔がんにならずに生涯過ごせるのでしょうか?

今回こちらでお尋ねしたかった事は、生涯に渡って私と同じ位に食いしばりや噛みしめが酷いまま改善せず、すべての歯を喪失してしまって、殆ど不安薬を飲まないまま、歯科関係に全く行かずに口腔がんになる事もなく、平均寿命(80歳代)やそれ以上生きられる方はいるのでしょうか?
回答1 櫻井 善明 2016/11/07(Mon) 09:41

ネクスト・デンタル(荒川区西日暮里)の櫻井です。

んんん…

なかなか大変な状況だと思います。

ただ、yamada1 さんのような状況で悩まれていらっしゃる方もいるのかもしれませんが、とても数は少ないように思います。

僕個人としては経験したことはありませんし、おそらく、僕の周りの歯科医でも経験のある人はほとんどいらにように思います。

多くの歯科医が「慣れるのが、一般である」と言う認識でいるように思います。


なのでご質問の

>私と同じ位に〜

は「yamada1 さんと同じくらいの人」は「数が少なすぎてわからない(多くの歯科医が経験がない)」と言う事になるように思います。


yamada1 さんの病状に向き合える医師(歯科医師)と巡り合えることを願っています。
返信1 2ごう 2016/11/08(Tue) 15:14

櫻井先生

私のような人は居ないにしても、一生涯噛み締め行為が治らないで不安薬を全く飲まなくて済む人は居るのでしょうか?

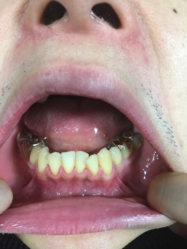
(因みに特にこの2年半での歯茎後退と歯の伸びは写真の程度です。)

画像1IMG_0384.JPG 画像2IMG_0386.JPG
回答2 櫻井 善明 2016/11/08(Tue) 16:07

ネクスト・デンタル(荒川区西日暮里)の櫻井です。

んんん…

ネットではお写真を見て、診査診断できませんので、なんとなぁ〜くの回答になります。

個人的には

「極端に下がっているようには見えないなぁ」
「でも汚れているから、歯周病とかが心配になるんじゃないかなぁ」
「歯医者さんでしっかりクリーニングを受けたほうがいいんじゃないかなぁ」

みたいな感じでしょうか。


>一生涯噛み締め行為が治らないで不安薬を全く飲まなくて済む人は居るのでしょうか?

どうなんでしょうね?

当院では噛み締め行為改善のために抗不安薬を必要とする人はいませんので、そういう意味では「不安薬を全く飲まなくて済む人しかいない」ですかね。
返信2 2ごう 2016/11/09(Wed) 00:14

そうですか。
先生の医院の患者で、生涯噛み締め行為が治らなかった方はいないという事ですか?
たとえば、先生の医院の患者で、70〜80代の老齢者で「若い時から噛み締めが治らない」と訴えた方も今までに居ませんか?
回答3 櫻井 善明 2016/11/09(Wed) 10:49

ネクスト・デンタル(荒川区西日暮里)の櫻井です。

>生涯噛み締め行為が治らなかった方はいないという事ですか?
>たとえば、先生の医院の患者で、70〜80代の老齢者で「若い時から噛み締めが治らない」と訴えた方も今までに居ませんか?

「治る」「治らない」と言う表現をされる方は診たことがありません。

おそらく…「噛み締めはずっとあった」かも知れませんが「別に気にしない(気にならない)」のだと思います。
返信3 2ごう 2016/11/15(Tue) 04:40

そうですか。一昨夜も睡眠中に半無意識のまま寝入りねいりばなに右鼻のみからイビキのようなのが出て、顔の右側に力が入ってる感があり、その後前歯同士のぶつけ合いと口を開いたり閉じたりの顎音確認行為が止まらず、2時間くらいしてから、一度布団から起きて、耳鳴りに意識が行ってる事を再確認してからは、何とか連続的に眠れました。起床すると、伸びた歯と歯の根が痛くて伸びた感覚が怖いという感覚で頭が一杯になり、歯同士がらぶつからないよう細心の注意を払いながら平衡感覚がフラフラになりながら朝食を取りました。精神薬を飲んでてもこんな感じです。
日中、心療歯科に行きましたが、全く前進なしでした。(特に医者が悪いという訳でない)
回答4 小牧令二 2016/11/18(Fri) 15:33

美江寺歯科医院(岐阜県瑞穂市)の小牧です。

yamada1 さん、こんにちは

>先生の医院の患者で、生涯噛み締め行為が治らなかった方はいないという事ですか?
>たとえば、先生の医院の患者で、70〜80代の老齢者で「若い時から噛み締めが治らない」と訴えた方も今までに居ませんか?


私の経験では、60代から80代まで20年弱かかられてみえた患者さんで、上下ともに総入れ歯で噛みしめをされる方がみえました。

本人も自覚がありましたが、しかし、噛みしめを止めることはできませんでした。
返信4 2ごう 2016/11/20(Sun) 18:44

そうですか。その方は精神疾患(不安症、自律神経失調症等)は何かありましたか?また、何か精神薬(不安薬)は常時服用してましたか?
また、その方はどんな性格(不安を持ちやすい、のんびり屋、体に特異的なこだわりがある等)でしたか?
回答5 小牧令二 2016/11/24(Thu) 17:29

美江寺歯科医院(岐阜県瑞穂市)の小牧です。

ごく普通の”おばあちゃん”でした。
全身的にも健康で90歳近くまで長生きされました。
返信5 2ごう 2016/11/25(Fri) 12:59

そうですか。羨ましい限りです。
耳鳴りも顎同様に19年間困ってます。
厚生省から調査依頼がありました。早く調査から治療薬等ができる時代になれば良いのですが。
私は既に精神薬を22年飲み続けて腸が慢性的に機能低下してますが、そのおばあちゃん同様、長生きできるかどうか…

この記事へコメントを投稿、投稿した記事を編集・削除する際にはログインが必要です
一般会員の方は、IDとパスワードを入力してログインしてください

(携帯電話からは閲覧のみ可能で、投稿はできません)

ログインID
パスワード
  • IDとパスワードを忘れた方は こちら
  • 会員登録がお済みでない方は こちら
  • 回答者の方のログインは こちら


歯科相談掲示板TOPに戻る

copyright©2006- 歯医者/歯科情報の歯チャンネル All Rights Reserved.