歯科相談掲示板 歯科相談を投稿 回答者に参加 歯科相談室TOP


歯科相談掲示板TOPに戻る

タイトル 右上親知らずの抜歯の是非についてご助言いただきたいです。
相談者 にこにこ25
年齢 40 歳
性別 男性
地域 非公開
職業 非公開

当サイト上のいかなる情報も、利用者への資料提供を目的としたものであり、決して医師の診断を代替するものではありません。

弊社は常に利用者にとって有益な情報を正確に伝えるために万全を尽くしておりますが、特に医療・健康に関する情報は、全ての個人に一様に当てはまるわけではない個別性の高い情報が数多く含まれております。

したがって、当サイトの情報の利用並びにその情報に基づく判断においては、上記の特性および免責事項を十分理解した上で、また、現実的な利用においては、しかるべき資格を有する医師や薬剤師等に個別に相談するなど、ユーザーの皆様の責任において細心の注意を払って行ってください。

弊社は、当サイトのサービスにより、利用者及び第三者に直接的または間接的に生じた損害について、一切の責任を負いません。


質問 - にこにこ25 2025/10/23(Thu) 17:27
回答1 - 柴田 (評価3.9に降下) 2025/10/24(Fri) 19:52


質問 にこにこ25 2025/10/23(Thu) 17:27

はじめまして。お忙しいところ失礼します。
右上の親知らずについて相談させてください。

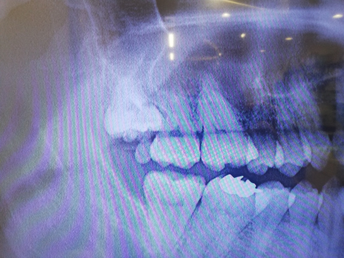
右上の親知らずについて抜いてもらおうと思いCTを撮影してもらったところ、親知らずが隣の歯を支えている状況であり、親知らずを抜くと隣の歯(7番)が揺れる可能性があるとのことでした。

抜歯のメリットは、親知らずの隣の歯を専用のブラシで清掃し管理できるようになることで、デメリットは、親知らずの隣の歯(7番)の寿命を親知らず抜歯によって、かえって縮めてしまう可能性があるとのことでした。

主治医の先生は、通常なら親知らず抜歯を勧める状況だが、わたしの場合は、通常の人よりも副鼻腔が大きく、親知らずの隣の歯(7番)の歯根が歯槽骨に埋まってる長さが少ないために、親知らず抜歯によって7番が揺れるようになる可能性があるとのことでした。さらに、親知らずが7番を支えているような状況だそうで、噛める力が弱くなる可能性もあるとのことでした。

主治医の先生のコメントは、「抜歯したら(親知らず抜歯の結果)、どうなるかわからない。抜いてというなら抜いてあげる。」とのことでした。

主治医の先生曰く、現在、歯周病ではないとのことでした。
添付の画像は、問題の親知らずのレントゲン写真とCT画像になります。

この場合、抜歯をした方がよいのでしょうか?
ご意見やご助言をいただけますと幸いです。
何卒ご教示よろしくお願いいたします。

画像1右上親知らず.jpg 画像2右上親知らずCT.jpg
回答1 柴田 (評価3.9に降下) 2025/10/24(Fri) 19:52

顕微鏡歯科シバタ(名古屋市守山区大森)の柴田です。

普段見かけないものが7番は8番の間にあるように思いますがいかがですか?

CTは合わせ方によってほぼほぼ正確な歯根の長さを確認できる場合とそうでない場合があると思います。

根管のほぼ中央に歯髄がありますので根管がきちんと写っていると長さを測りやすいと思います。

このようなケースの場合ごく稀に7番の遠心側が外部吸収していることがあります。その場合には7番を抜歯して8番を矯正治療で7番の位置に移動させられる矯正専門医はたくさんいらっしゃると思います。

また親知らず(8番)があると左側の大臼歯が抜歯になった時のドナーとして使える可能性があると思います。

この記事へコメントを投稿、投稿した記事を編集・削除する際にはログインが必要です
一般会員の方は、IDとパスワードを入力してログインしてください

(携帯電話からは閲覧のみ可能で、投稿はできません)

ログインID
パスワード
  • IDとパスワードを忘れた方は こちら
  • 会員登録がお済みでない方は こちら
  • 回答者の方のログインは こちら


歯科相談掲示板TOPに戻る

copyright©2006- 歯医者/歯科情報の歯チャンネル All Rights Reserved.