歯科相談掲示板 歯科相談を投稿 回答者に参加 歯科相談室TOP


歯科相談掲示板TOPに戻る

タイトル インプラント治療後の歯茎にできもの
相談者 まこto
年齢 40 歳
性別 女性
地域 非公開
職業 非公開

当サイト上のいかなる情報も、利用者への資料提供を目的としたものであり、決して医師の診断を代替するものではありません。

弊社は常に利用者にとって有益な情報を正確に伝えるために万全を尽くしておりますが、特に医療・健康に関する情報は、全ての個人に一様に当てはまるわけではない個別性の高い情報が数多く含まれております。

したがって、当サイトの情報の利用並びにその情報に基づく判断においては、上記の特性および免責事項を十分理解した上で、また、現実的な利用においては、しかるべき資格を有する医師や薬剤師等に個別に相談するなど、ユーザーの皆様の責任において細心の注意を払って行ってください。

弊社は、当サイトのサービスにより、利用者及び第三者に直接的または間接的に生じた損害について、一切の責任を負いません。


質問 - まこto 2025/11/03(Mon) 22:22
回答1 - 柴田 (評価3.9) 2025/11/04(Tue) 07:43
回答2 - Dr.ふなちゃん 2025/11/04(Tue) 10:05
返信1 - まこto 2025/11/05(Wed) 01:29
回答3 - Dr.ふなちゃん 2025/11/05(Wed) 17:25


質問 まこto 2025/11/03(Mon) 22:22

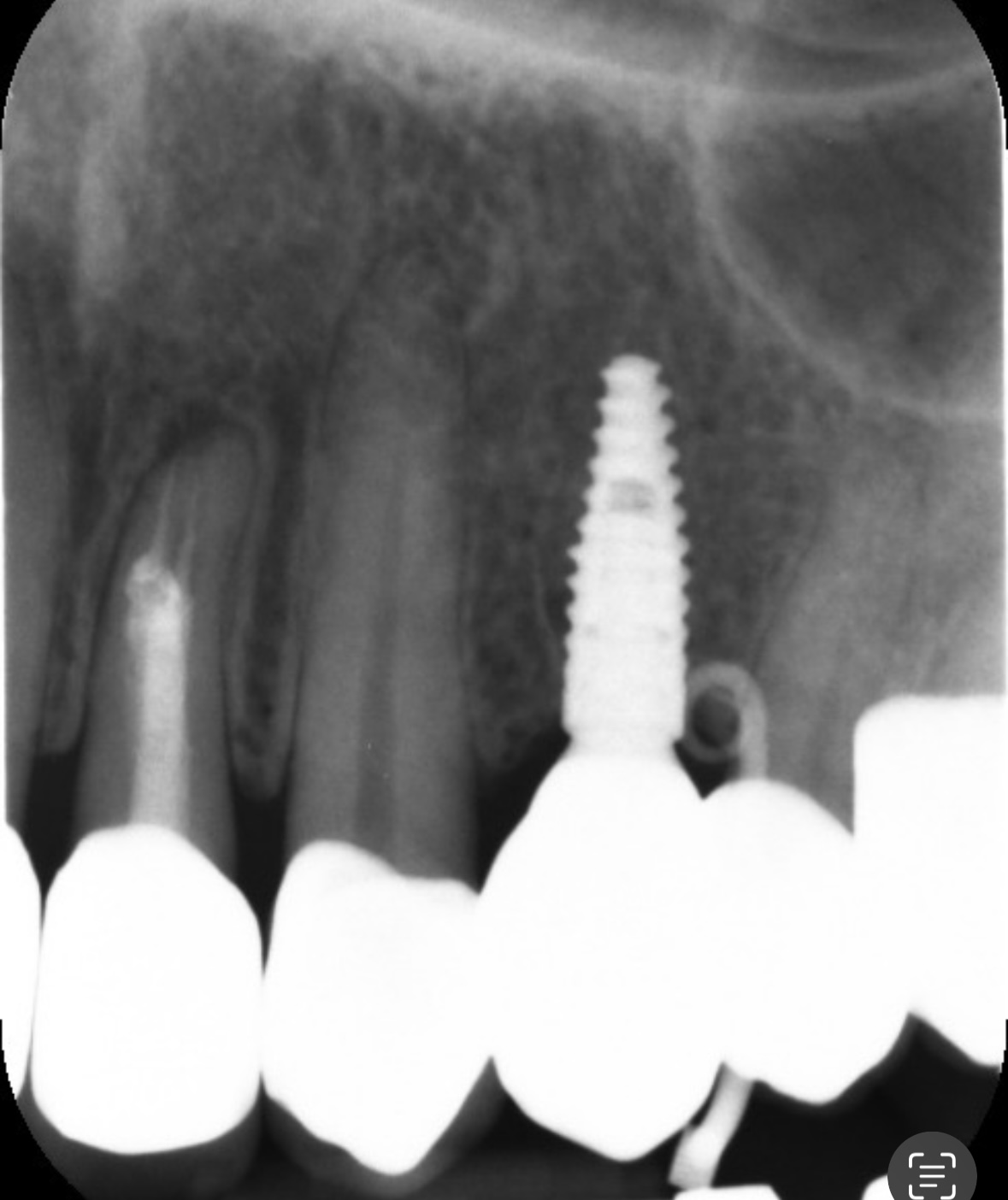
約1年前にインプラントを入れた歯の上に、フィステルのようなものができています。押すと痛みがあります。部分的なレントゲンを撮影しましたが、特に異常は見られませんとの事で治療をしてもらえませんでした。
同じようなできものは2か月ほど前にもでき、そのときは数日後に自然に消えました。しかし、今回また同じ場所にできてしまいました。なお、レントゲンを撮影したのは、このできものができる約5日前です。これは細菌による炎症なのでしょうか?

宜しくお願い致します。

画像1IMG_0476.jpeg 画像2IMG_0474.jpeg
回答1 柴田 (評価3.9) 2025/11/04(Tue) 07:43

顕微鏡歯科シバタ(名古屋市守山区大森)の柴田です。

インプラントの部位の記入がなく隣の歯の状態も分からないのですが、

@ 近くの歯の根尖病変が原因で腫れてきている
A インプラント体に問題がある
B 歯周病

などが考えられますが、歯科用CT撮影が正確な診断に有効なこともあると思います
回答2 Dr.ふなちゃん 2025/11/04(Tue) 10:05

船橋歯科医院(岡山市北区)の船橋です。

こんにちは。左上犬歯に相当する部位に関してでしょうか?現状を再度みていただいた方が良いのではないかと思います。

5日前から増悪しているのであれば再受診のための予約をされるのが良いと思います。

細菌感染から腫れるという場合がほとんどだと思います。レントゲンに写ってくる時期は炎症が酷くなって骨の緻密度が低くなってからという場合が多いと思いますから、早すぎると問題が認識し難い場合が多いと思います。

目視でもはっきり腫れがわかる時に受診していただきますと問題があることを共有しやすいと思います。
返信1 まこto 2025/11/05(Wed) 01:29

柴田先生
Dr.ふなちゃん先生

お返事有難うございました。

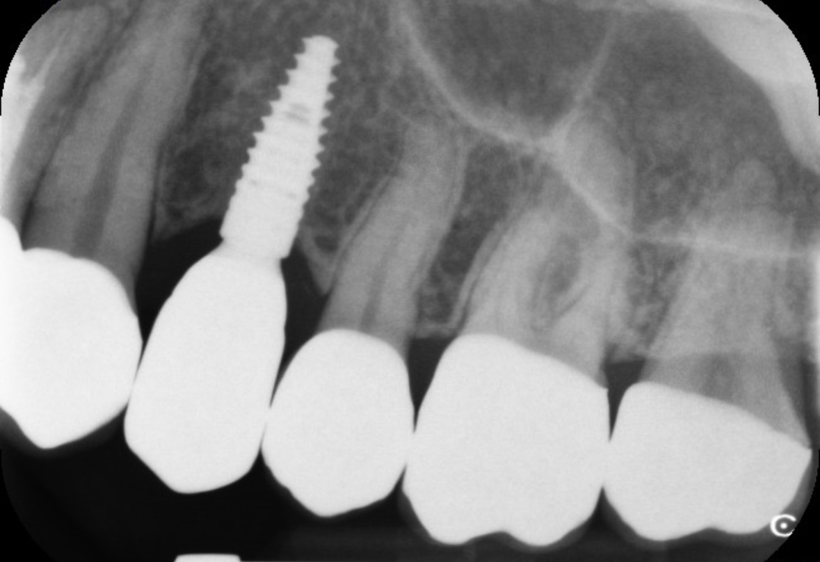
フィステルのようなものができているのは、調べたところ「第一小臼歯」の上でした。

今日また歯医者さんに行き、針のような器具を挿入した状態でレントゲンを撮ってもらいました。その結果、針がインプラントの手前で曲がっていたため、原因はインプラントの歯ではなく、別の歯にあるとのことでした。

先生のお話では、このできものはフィステルであるとのことで、原因としては側切歯の根の部分に炎症があるのでそこの歯からの可能性が高いそうです。とりあえず担当医と相談するように言われましたが、担当医は現在休暇中のため、次回の予約は11月20日になっています。

なお、来週の金曜日にインプラント専門の先生が来られるとのことなので、その際にもう一度診ていただく予定です。

今回のフィステルが二つ隣の歯にできるということは本当にあるのでしょうか?

宜しくお願い致します。

画像1IMG_0508.jpeg 画像2IMG_0507.jpeg
回答3 Dr.ふなちゃん 2025/11/05(Wed) 17:25

船橋歯科医院(岡山市北区)の船橋です。

よく見ると第一小臼歯でしたね。
たまたま根管治療してある側切歯の根尖も問題がありそうだなとわかったのでしょうか。

インプラントもインプラント周囲炎という病気がありますから、専門の先生が来られた際にしっかり診てもらうと良いでしょうね。

歯科医も休暇が必要ですから、緊急事態というほどではないので20日までお待ちくださいということなのでしょう。

とりあえず、症状のある時にきちんと受診できて症状の記録がされて良かったですね。

この記事へコメントを投稿、投稿した記事を編集・削除する際にはログインが必要です
一般会員の方は、IDとパスワードを入力してログインしてください

(携帯電話からは閲覧のみ可能で、投稿はできません)

ログインID
パスワード
  • IDとパスワードを忘れた方は こちら
  • 会員登録がお済みでない方は こちら
  • 回答者の方のログインは こちら


歯科相談掲示板TOPに戻る

copyright©2006- 歯医者/歯科情報の歯チャンネル All Rights Reserved.