[写真あり] 1番の歯根が僅か10mm。抜けないか不安です(カナダ)
相談者:
nerinaさん (38歳:女性)
投稿日時:2008-11-29 05:17:01
はじめまして。
このテーマについては調べてみたのですが一致するものを見つける事ができませんでしたのでここで質問させて頂きたいと思います。
まずは経緯から簡単に。
日本で20年程前に歯根膿胞により左上2、3を抜歯、その為右上1から左上4までをブリッジ。
8年程前からこちらカナダの歯科担当医より、左上1の歯根が相当短くなっている事を指摘され、2006年に左上1、2、3のインプラントブリッジの治療で、5月に左上1と右上1を切り離し、左上1を抜歯。
口腔外科医を紹介されCT撮影、骨吸収があるということで同年11月に腸骨からの骨移植。
2007年3月に左上1、3にインプラント樹立、ちなみにメーカーはストローマンです。
7月に歯科医によりブリッジの仮歯作成。
8月にセラミックの本歯。
それと同時期ガムラインを調整する為、右上1の骨を1ミリ程削る。
その後右上1にもセラミックの歯冠予定でしたが、痛みがあったので抜髄を推められて、承諾したのですがその時になって歯根が短いと言われました(確かに少し動揺があります)。
歯科医によると通常前歯の歯根は15ミリくらいあるが、私のはせいぜい10ミリほどではっきり言ってもたないだろう。
セラミックの歯冠をしてももったいないだけだ。
もし抜けたらまたインプラントにすればいい、とのこと。
前歯のインプラントに関してはこちらのサイトでも審美的に難しいとよく述べられていますし、実際私自身このインプラントのブリッジに100%満足している訳ではありません。
しかし半年程部分入れ歯をしましたが本当に外出もしたくない、ましてや外食なんて最悪という程いやな経験だったので、その時に比べたら天国です。
でももし右上1にインプラントというと、左上1と隣合ってしまい歯肉がもっと下がりますよね?それはさすがにちょっと受け入れるかどうか。
ここで質問なのですがこの10ミリの歯根というのは相当短いのか?ともし抜けてしまった場合の対処法は?です。
みなさんお忙しいとは思いますがよろしくお願いします。
このテーマについては調べてみたのですが一致するものを見つける事ができませんでしたのでここで質問させて頂きたいと思います。
まずは経緯から簡単に。
日本で20年程前に歯根膿胞により左上2、3を抜歯、その為右上1から左上4までをブリッジ。
8年程前からこちらカナダの歯科担当医より、左上1の歯根が相当短くなっている事を指摘され、2006年に左上1、2、3のインプラントブリッジの治療で、5月に左上1と右上1を切り離し、左上1を抜歯。
口腔外科医を紹介されCT撮影、骨吸収があるということで同年11月に腸骨からの骨移植。
2007年3月に左上1、3にインプラント樹立、ちなみにメーカーはストローマンです。
7月に歯科医によりブリッジの仮歯作成。
8月にセラミックの本歯。
それと同時期ガムラインを調整する為、右上1の骨を1ミリ程削る。
その後右上1にもセラミックの歯冠予定でしたが、痛みがあったので抜髄を推められて、承諾したのですがその時になって歯根が短いと言われました(確かに少し動揺があります)。
歯科医によると通常前歯の歯根は15ミリくらいあるが、私のはせいぜい10ミリほどではっきり言ってもたないだろう。
セラミックの歯冠をしてももったいないだけだ。
もし抜けたらまたインプラントにすればいい、とのこと。
前歯のインプラントに関してはこちらのサイトでも審美的に難しいとよく述べられていますし、実際私自身このインプラントのブリッジに100%満足している訳ではありません。
しかし半年程部分入れ歯をしましたが本当に外出もしたくない、ましてや外食なんて最悪という程いやな経験だったので、その時に比べたら天国です。
でももし右上1にインプラントというと、左上1と隣合ってしまい歯肉がもっと下がりますよね?それはさすがにちょっと受け入れるかどうか。
ここで質問なのですがこの10ミリの歯根というのは相当短いのか?ともし抜けてしまった場合の対処法は?です。
みなさんお忙しいとは思いますがよろしくお願いします。

相談者:
nerinaさん
返信日時:2008-11-29 05:24:58

山田歯科医院(兵庫県姫路市)の山田です。
回答日時:2008-11-29 07:19:35
nerinaさまおはようございます。
右上1番の歯根が短くて10mmくらいしかないとのことで、抜けてしまうのではないかと心配なさっているのですね。
確かに10mmというのは短いとは思いますが、健康管理さえ出来ていて、負担過重がなければ心配ないと思います。
文面からは現在の歯肉の状態とか咬合状態が不明なのでなんともいえませんが、その辺りを診察していただいてアドバイスを受けられるといいと思います。
結局の所、歯の健康管理で重要なポイントは、砂糖の摂取量と摂取の仕方つまり間食の量と食べ方、そして歯磨きの技術です。
間食の目安は一日一種類一個がいいと考えています、食べ過ぎたら翌日は休甘日にするといいでしょう。
歯磨きについては技術的にはかなり奥深いものがありますが、要するに磨いたら隅々まできれいに磨けていることと、歯肉や歯を傷つけるような磨き方は避けていただきたいということになります。
闇雲に力任せにこするのはよくありません、そういう意味で歯磨材の使用は避けたほうがいいと考えています。
今歯根の短い方の治療をしている症例があるので患者さんの承諾が取れればレントゲンをUPしておきます。
むし歯の出来ない砂糖の量 http://www.yamadashika.jp/prevent05.html
お砂糖3本分クイズ http://www.yamadashika.jp/prevent09.html
毛先磨き http://www.yamadashika.jp/prevent08.html#kesaki
歯磨き講座 http://www.gcdental.jp/hamigaki/index.html
オーバーブラッシング http://www.yamadashika.jp/prevent08.html
右上1番の歯根が短くて10mmくらいしかないとのことで、抜けてしまうのではないかと心配なさっているのですね。
確かに10mmというのは短いとは思いますが、健康管理さえ出来ていて、負担過重がなければ心配ないと思います。
文面からは現在の歯肉の状態とか咬合状態が不明なのでなんともいえませんが、その辺りを診察していただいてアドバイスを受けられるといいと思います。
結局の所、歯の健康管理で重要なポイントは、砂糖の摂取量と摂取の仕方つまり間食の量と食べ方、そして歯磨きの技術です。
間食の目安は一日一種類一個がいいと考えています、食べ過ぎたら翌日は休甘日にするといいでしょう。
歯磨きについては技術的にはかなり奥深いものがありますが、要するに磨いたら隅々まできれいに磨けていることと、歯肉や歯を傷つけるような磨き方は避けていただきたいということになります。
闇雲に力任せにこするのはよくありません、そういう意味で歯磨材の使用は避けたほうがいいと考えています。
今歯根の短い方の治療をしている症例があるので患者さんの承諾が取れればレントゲンをUPしておきます。
むし歯の出来ない砂糖の量 http://www.yamadashika.jp/prevent05.html
お砂糖3本分クイズ http://www.yamadashika.jp/prevent09.html
毛先磨き http://www.yamadashika.jp/prevent08.html#kesaki
歯磨き講座 http://www.gcdental.jp/hamigaki/index.html
オーバーブラッシング http://www.yamadashika.jp/prevent08.html

山田歯科医院(兵庫県姫路市)の山田です。
回答日時:2008-12-02 18:10:04
こんばんわ。
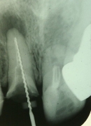
今日患者さんの了解が取れたのでレントゲン画像をUPしておきます。
歯の全長は実測17mmです、レントゲンから骨内にある歯根長を推測すると約5mm弱くらいだと思います。
問題なく何でも咬めるそうです。
参考になさってください。
画像1 治療前(向かって右の歯)
画像2 根管充填後
画像1
画像2
今日患者さんの了解が取れたのでレントゲン画像をUPしておきます。
歯の全長は実測17mmです、レントゲンから骨内にある歯根長を推測すると約5mm弱くらいだと思います。
問題なく何でも咬めるそうです。
参考になさってください。
画像1 治療前(向かって右の歯)
画像2 根管充填後
画像1



相談者:
nerinaさん
返信日時:2008-12-03 11:18:20
山田先生へ
レントゲン写真のアップまでして頂いたのにお返事が遅くなり申し訳ありません。
>確かに10mmというのは短いとは思いますが、健康管理さえ出来ていて、負担過重がなければ心配ないと思います。
本当にホッとしました。
普段からなるべく負担はかけないように硬い物(バゲットなど)を噛みちぎったりしないように気を付けてはいますが、こちらの担当してくださった先生によるともとから歯根が短かったのかどうか今となっては知りようがないがもう近い将来必ず抜けると判断されたので落ち込みました。
歯肉の状態は前回の歯石取りの際に衛生士さんから良好と言われましたが、かみあわせについてはどうなのか私には判断がつきませんのでこちらの担当医に尋ねてみます。
>結局の所歯の健康管理で重要なポイントは砂糖の摂取量と摂取の仕方つまり間食の量と食べ方、そして歯磨きの技術です。
アドバイスありがとうございます。
私自身は間食をする習慣はなく甘いものもあまり好きではありません。
歯磨きに関してはここでは歯科医や衛生士などからの指導はありません。
何度か山田先生のホームページも読まさせていただいた事がありますので、参考にしながら行っています。
ですから前回の歯石取りの時も、衛生士さんにビックリするほど褒められたんですよ。
しかしこちらで困るのはどの歯ブラシ(例え子供用でも!)も私の口には大きすぎるので、奥歯などがうまく磨けません。
ですからいつも帰国の折りに何本か購入してそれを使っています。
丁寧にそして親身になって御回答頂き本当にありがとうございました。
もうこちらモントリオールは冬真只中で気温も低く、インフルエンザなどが流行しております。
日本もこれから益々寒さが厳しくなる思いますが、お体のほう大切になさってください。
また何かありましたら相談させて頂くとは思いますが、その時はどうぞよろしくお願いいたします。
レントゲン写真のアップまでして頂いたのにお返事が遅くなり申し訳ありません。
>確かに10mmというのは短いとは思いますが、健康管理さえ出来ていて、負担過重がなければ心配ないと思います。
本当にホッとしました。
普段からなるべく負担はかけないように硬い物(バゲットなど)を噛みちぎったりしないように気を付けてはいますが、こちらの担当してくださった先生によるともとから歯根が短かったのかどうか今となっては知りようがないがもう近い将来必ず抜けると判断されたので落ち込みました。
歯肉の状態は前回の歯石取りの際に衛生士さんから良好と言われましたが、かみあわせについてはどうなのか私には判断がつきませんのでこちらの担当医に尋ねてみます。
>結局の所歯の健康管理で重要なポイントは砂糖の摂取量と摂取の仕方つまり間食の量と食べ方、そして歯磨きの技術です。
アドバイスありがとうございます。
私自身は間食をする習慣はなく甘いものもあまり好きではありません。
歯磨きに関してはここでは歯科医や衛生士などからの指導はありません。
何度か山田先生のホームページも読まさせていただいた事がありますので、参考にしながら行っています。
ですから前回の歯石取りの時も、衛生士さんにビックリするほど褒められたんですよ。
しかしこちらで困るのはどの歯ブラシ(例え子供用でも!)も私の口には大きすぎるので、奥歯などがうまく磨けません。
ですからいつも帰国の折りに何本か購入してそれを使っています。
丁寧にそして親身になって御回答頂き本当にありがとうございました。
もうこちらモントリオールは冬真只中で気温も低く、インフルエンザなどが流行しております。
日本もこれから益々寒さが厳しくなる思いますが、お体のほう大切になさってください。
また何かありましたら相談させて頂くとは思いますが、その時はどうぞよろしくお願いいたします。
タイトル | [写真あり] 1番の歯根が僅か10mm。抜けないか不安です(カナダ) |
---|---|
質問者 | nerinaさん |
地域 | 海外 |
年齢 | 38歳 |
性別 | 女性 |
職業 | 主婦 |
カテゴリ | |
回答者 |
|
- 上記書き込みの内容は、回答当時のものです。
- 歯科医療は日々発展しますので、回答者の考え方が変わることもあります。
- 保険改正により、保険制度や保険点数が変わっていることもありますのでご注意ください。