[写真あり] 1年前にインプラント治療した歯の歯茎にできもの
相談者:
まこtoさん (40歳:女性)
投稿日時:2025-11-03 22:22:26
回答1顕微鏡歯科シバタ(名古屋市守山区大森)の柴田です。
回答日時:2025-11-04 07:43:56
インプラントの部位の記入がなく、隣の歯の状態も分からないのですが、
@ 近くの歯の根尖病変が原因で腫れてきている
A インプラント体に問題がある
B 歯周病
などが考えられますが、歯科用CT撮影が正確な診断に有効なこともあると思います
@ 近くの歯の根尖病変が原因で腫れてきている
A インプラント体に問題がある
B 歯周病
などが考えられますが、歯科用CT撮影が正確な診断に有効なこともあると思います
回答2船橋歯科医院(岡山市北区)の船橋です。
回答日時:2025-11-04 10:05:27
こんにちは。
左上犬歯に相当する部位に関してでしょうか?
現状を再度みていただいた方が良いのではないかと思います。
5日前から増悪しているのであれば、再受診のための予約をされるのが良いと思います。
細菌感染から腫れるという場合がほとんどだと思います。
レントゲンに写ってくる時期は、炎症が酷くなって骨の緻密度が低くなってからという場合が多いと思いますから、早すぎると問題が認識し難い場合が多いと思います。
目視でもはっきり腫れがわかる時に受診していただきますと、問題があることを共有しやすいと思います。
左上犬歯に相当する部位に関してでしょうか?
現状を再度みていただいた方が良いのではないかと思います。
5日前から増悪しているのであれば、再受診のための予約をされるのが良いと思います。
細菌感染から腫れるという場合がほとんどだと思います。
レントゲンに写ってくる時期は、炎症が酷くなって骨の緻密度が低くなってからという場合が多いと思いますから、早すぎると問題が認識し難い場合が多いと思います。
目視でもはっきり腫れがわかる時に受診していただきますと、問題があることを共有しやすいと思います。
相談者からの返信相談者:
まこtoさん
返信日時:2025-11-05 01:29:53
柴田先生
Dr.ふなちゃん先生
お返事有難うございました。
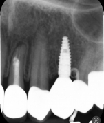
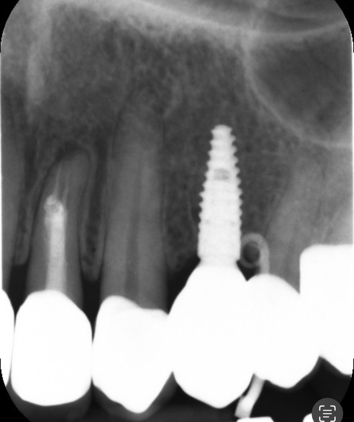
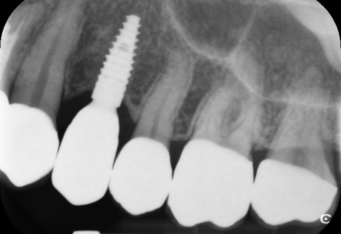
フィステルのようなものができているのは、調べたところ「第一小臼歯」の上でした。
今日また歯医者さんに行き、針のような器具を挿入した状態でレントゲンを撮ってもらいました。
その結果、針がインプラントの手前で曲がっていたため、原因はインプラントの歯ではなく、別の歯にあるとのことでした。
先生のお話では、このできものはフィステルであるとのことで、原因としては側切歯の根の部分に炎症があるのでそこの歯からの可能性が高いそうです。
とりあえず担当医と相談するように言われましたが、担当医は現在休暇中のため、次回の予約は11月20日になっています。
なお、来週の金曜日にインプラント専門の先生が来られるとのことなので、その際にもう一度診ていただく予定です。
今回のフィステルが二つ隣の歯にできるということは本当にあるのでしょうか?
宜しくお願い致します。
画像1
画像2
Dr.ふなちゃん先生
お返事有難うございました。
フィステルのようなものができているのは、調べたところ「第一小臼歯」の上でした。
今日また歯医者さんに行き、針のような器具を挿入した状態でレントゲンを撮ってもらいました。
その結果、針がインプラントの手前で曲がっていたため、原因はインプラントの歯ではなく、別の歯にあるとのことでした。
先生のお話では、このできものはフィステルであるとのことで、原因としては側切歯の根の部分に炎症があるのでそこの歯からの可能性が高いそうです。
とりあえず担当医と相談するように言われましたが、担当医は現在休暇中のため、次回の予約は11月20日になっています。
なお、来週の金曜日にインプラント専門の先生が来られるとのことなので、その際にもう一度診ていただく予定です。
今回のフィステルが二つ隣の歯にできるということは本当にあるのでしょうか?
宜しくお願い致します。
画像1
画像2
回答3船橋歯科医院(岡山市北区)の船橋です。
回答日時:2025-11-05 17:25:03
よく見ると第一小臼歯でしたね。
たまたま根管治療してある側切歯の根尖も、問題がありそうだなとわかったのでしょうか。
インプラントもインプラント周囲炎という病気がありますから、専門の先生が来られた際にしっかり診てもらうと良いでしょうね。
歯科医も休暇が必要ですから、緊急事態というほどではないので20日までお待ちくださいということなのでしょう。
とりあえず、症状のある時にきちんと受診できて症状の記録がされて良かったですね。
たまたま根管治療してある側切歯の根尖も、問題がありそうだなとわかったのでしょうか。
インプラントもインプラント周囲炎という病気がありますから、専門の先生が来られた際にしっかり診てもらうと良いでしょうね。
歯科医も休暇が必要ですから、緊急事態というほどではないので20日までお待ちくださいということなのでしょう。
とりあえず、症状のある時にきちんと受診できて症状の記録がされて良かったですね。
| タイトル | [写真あり] 1年前にインプラント治療した歯の歯茎にできもの |
|---|---|
| 質問者 | まこtoさん |
| 地域 | 非公開 |
| 年齢 | 40歳 |
| 性別 | 女性 |
| 職業 | 非公開 |
| カテゴリ |
その他(写真あり) 歯茎の出来物(できもの) 歯茎の婁孔(ろうこう・フィステル) |
| 回答者 |
|
- 上記書き込みの内容は、回答当時のものです。
- 歯科医療は日々発展しますので、回答者の考え方が変わることもあります。
- 保険改正により、保険制度や保険点数が変わっていることもありますのでご注意ください。








