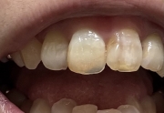
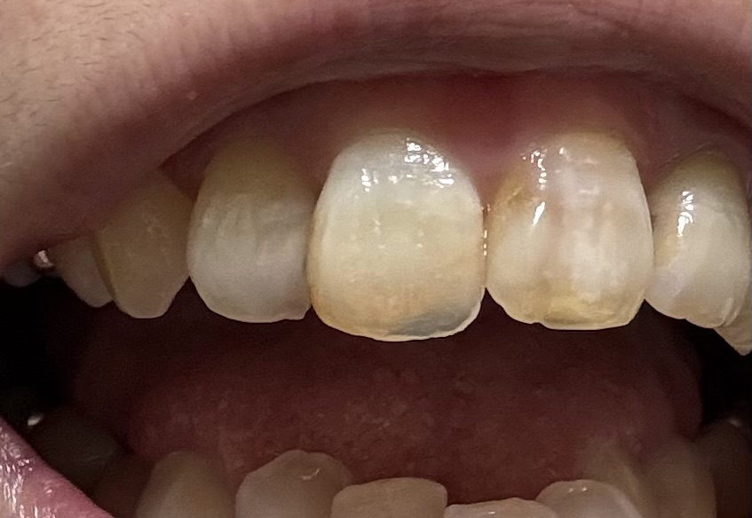
[写真あり] ウォーキングブリーチ後の前歯の先端の透け
相談者:
おさきさん (49歳:女性)
投稿日時:2026-01-19 00:06:02
先日、前歯2本のウォーキングブリーチをしました。
その直後に気づいたのですが、前歯2本のうち1本の先端が透けていて、遠目で見るとグレーに見えてしまいます。
前から薄かったのでしょうが、ウォーキングブリーチをして歯が白くなったので余計に目立つのだと思います。
透けていて、薄いです。
普通に前歯で噛んだら欠けてしまうのではないかと、噛むのが怖いくらい薄いです。
せっかく見た目をきれいにしたくてウォーキングブリーチをしたのに、先端が透けてグレーに見えてしまうのがショックですし、欠けないか気になって美味しくご飯が食べられないのも辛いです。
この場合、CR充填を先端に施行してもらう事は可能でしょうか?
先端の補強と透けの改善にと考えています。
画像1
その直後に気づいたのですが、前歯2本のうち1本の先端が透けていて、遠目で見るとグレーに見えてしまいます。
前から薄かったのでしょうが、ウォーキングブリーチをして歯が白くなったので余計に目立つのだと思います。
透けていて、薄いです。
普通に前歯で噛んだら欠けてしまうのではないかと、噛むのが怖いくらい薄いです。
せっかく見た目をきれいにしたくてウォーキングブリーチをしたのに、先端が透けてグレーに見えてしまうのがショックですし、欠けないか気になって美味しくご飯が食べられないのも辛いです。
この場合、CR充填を先端に施行してもらう事は可能でしょうか?
先端の補強と透けの改善にと考えています。
画像1

回答1山田歯科医院(兵庫県姫路市)の山田です。
回答日時:2026-01-20 11:59:04
こんにちは。
右上中切歯の先端の透けが気になっているようですね、写真から推測すると、内側が削れて象牙質がなくなっているのが原因だと考えられます。
この場合内側からCR 充填をすることはできません、かといって外側から充填するのも無理があります。
それならどうするかという事になりますが、咬合調整をして当たりを弱くして、欠けない様にしてやるのが一番いいように思います。
右上中切歯の先端の透けが気になっているようですね、写真から推測すると、内側が削れて象牙質がなくなっているのが原因だと考えられます。
この場合内側からCR 充填をすることはできません、かといって外側から充填するのも無理があります。
それならどうするかという事になりますが、咬合調整をして当たりを弱くして、欠けない様にしてやるのが一番いいように思います。
回答2船橋歯科医院(岡山市北区)の船橋です。
回答日時:2026-01-20 14:04:32
こんにちは。
ウォーキングブリーチは失活歯(神経の処置が済んでいる歯)の変色を内部から漂白する方法ですから、治療をお受けになった歯科医院にご相談いただくのがよいと思います。
失活歯の場合、歯の裏側の樹脂を一旦除去してブリーチするため、どこをどの程度除去されたのか?それをブリーチ後にどのように再充填されたのか(可能か)?についての診断が必要になります。
多くのケースで歯に先端に向かって歯が病的に薄くなってしまう原因は、下の歯との噛み合わせや、ギリギリ顎を動かした際のガイドの異常によることが多いので、歯の裏側から摩耗して歯の先が薄くなっている場合、裏側から樹脂を足す事ができない場合が多いです。
表に出っ張ってよいならば、表面に樹脂を足して補強することもできると思いますが、それが審美的に可能か?についても診断してもらい説明を受けてください。
ウォーキングブリーチは失活歯(神経の処置が済んでいる歯)の変色を内部から漂白する方法ですから、治療をお受けになった歯科医院にご相談いただくのがよいと思います。
失活歯の場合、歯の裏側の樹脂を一旦除去してブリーチするため、どこをどの程度除去されたのか?それをブリーチ後にどのように再充填されたのか(可能か)?についての診断が必要になります。
多くのケースで歯に先端に向かって歯が病的に薄くなってしまう原因は、下の歯との噛み合わせや、ギリギリ顎を動かした際のガイドの異常によることが多いので、歯の裏側から摩耗して歯の先が薄くなっている場合、裏側から樹脂を足す事ができない場合が多いです。
表に出っ張ってよいならば、表面に樹脂を足して補強することもできると思いますが、それが審美的に可能か?についても診断してもらい説明を受けてください。
| タイトル | [写真あり] ウォーキングブリーチ後の前歯の先端の透け |
|---|---|
| 質問者 | おさきさん |
| 地域 | 非公開 |
| 年齢 | 49歳 |
| 性別 | 女性 |
| 職業 | 非公開 |
| カテゴリ |
歯の変色・着色 ホワイトニングに関するトラブル その他(写真あり) ウォーキングブリーチ |
| 回答者 |
- 上記書き込みの内容は、回答当時のものです。
- 歯科医療は日々発展しますので、回答者の考え方が変わることもあります。
- 保険改正により、保険制度や保険点数が変わっていることもありますのでご注意ください。






