[写真あり] 叢生を治すための歯列矯正。2番抜歯でよいのか
相談者:
なえやまさん (37歳:女性)
投稿日時:2026-03-14 10:04:16
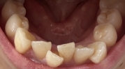
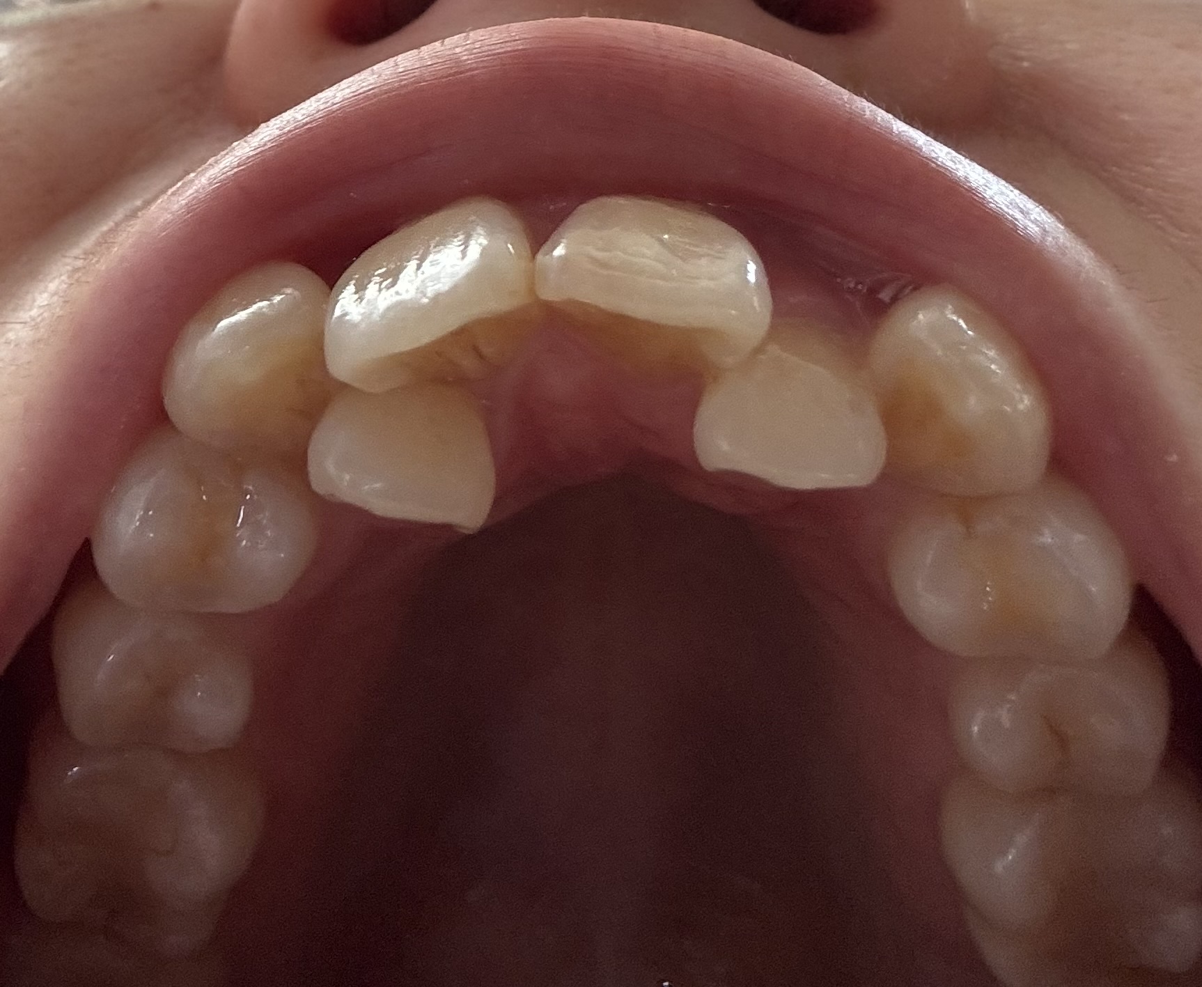
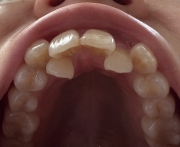
叢生を直したくて、歯列矯正専門歯科で精密検査を受けました。
右上は2番を抜歯、左上は4番を抜歯、下に関しては上の様子を見てそのうち片側の4番か前に出ている1番どちらか1本の抜歯になると言われました。
奥歯の噛み合わせを考えて3本抜歯になりそうとは他の医院でも言われた事があったので納得したのですが、前後に重なっているとは言え2番の抜歯は予想外だったので先生に理由を聞くと、
「4番抜歯だと時間が掛かるから。それから、治療を終えても正中線は上下どちらも中心には合わないと思うのでご承知ください」
とおっしゃっていました。
ネットで調べると、2番の抜歯は一般的ではないように感じます。
多少時間は掛かっても、審美的になるべく納得の行く仕上がりになれたら良いなと考えているので、2番抜歯で本当に良いのか悩んでいます。
また、歯列矯正を終えた時点で上下とも正中線が左右にズレている事や、下の飛び出している1番を抜歯するという事は一般的なのでしょうか?
画像1
画像2
右上は2番を抜歯、左上は4番を抜歯、下に関しては上の様子を見てそのうち片側の4番か前に出ている1番どちらか1本の抜歯になると言われました。
奥歯の噛み合わせを考えて3本抜歯になりそうとは他の医院でも言われた事があったので納得したのですが、前後に重なっているとは言え2番の抜歯は予想外だったので先生に理由を聞くと、
「4番抜歯だと時間が掛かるから。それから、治療を終えても正中線は上下どちらも中心には合わないと思うのでご承知ください」
とおっしゃっていました。
ネットで調べると、2番の抜歯は一般的ではないように感じます。
多少時間は掛かっても、審美的になるべく納得の行く仕上がりになれたら良いなと考えているので、2番抜歯で本当に良いのか悩んでいます。
また、歯列矯正を終えた時点で上下とも正中線が左右にズレている事や、下の飛び出している1番を抜歯するという事は一般的なのでしょうか?
画像1
画像2
回答1船橋歯科医院(岡山市北区)の船橋です。
回答日時:2026-03-15 09:48:10
こんにちは。
成人後かなり経過しての矯正治療の場合、歯槽骨や周囲組織は容易には作り出せないと考えるのが妥当だと思います。
特に日本人の女性は骨がとても薄い方が多いですから(子供の頃の食生活の影響によると思います)、成長後の矯正ではどこかを抜く矯正が選択肢の上位に登ることが多いです。
そこで歯を間引いて十分な隙間を作って歯を並べ直す治療になることが多いです。
通常、前歯6本は残して見た目に影響しない小臼歯を抜くのが一般的です。
ただし、下の歯は見た目に大きく影響しないため前歯を抜く仕上げ方も取られます。
(その際はブラックトライアングルの発生に注意が必要になるのでその辺りまでしっかりシュミレーションして治療計画を立ててもらっておくほうが良いでしょう)
見た目の仕上がりを重視して治療期間が大幅に伸びても構わないならば、一般的な小臼歯抜歯で治療してもらえるかお尋ねいただくことはできると思います。
犬歯の歯根の先の位置まで動かすのは時間がとてもかかるため犬歯の見え方が理想に至らず妥協する(遠心傾斜で終わる)等になる場合もあったり、色々な仕上げ方があります。
従って、最終的にどの仕上がりまでめざされるか?について契約前にしっかり説明を受けて納得の上で契約されるのがよいでしょう。
説明が不十分なままで治療を開始されてしまいますと後にトラブルになってしまう場合もありますから、シュミレーションまで見せてくれる歯科医院が好まれるようになっていると思います。
とはいえ、矯正専門医といえどもいろいろです。
成人後かなり経過しての矯正治療の場合、歯槽骨や周囲組織は容易には作り出せないと考えるのが妥当だと思います。
特に日本人の女性は骨がとても薄い方が多いですから(子供の頃の食生活の影響によると思います)、成長後の矯正ではどこかを抜く矯正が選択肢の上位に登ることが多いです。
そこで歯を間引いて十分な隙間を作って歯を並べ直す治療になることが多いです。
通常、前歯6本は残して見た目に影響しない小臼歯を抜くのが一般的です。
ただし、下の歯は見た目に大きく影響しないため前歯を抜く仕上げ方も取られます。
(その際はブラックトライアングルの発生に注意が必要になるのでその辺りまでしっかりシュミレーションして治療計画を立ててもらっておくほうが良いでしょう)
見た目の仕上がりを重視して治療期間が大幅に伸びても構わないならば、一般的な小臼歯抜歯で治療してもらえるかお尋ねいただくことはできると思います。
犬歯の歯根の先の位置まで動かすのは時間がとてもかかるため犬歯の見え方が理想に至らず妥協する(遠心傾斜で終わる)等になる場合もあったり、色々な仕上げ方があります。
従って、最終的にどの仕上がりまでめざされるか?について契約前にしっかり説明を受けて納得の上で契約されるのがよいでしょう。
説明が不十分なままで治療を開始されてしまいますと後にトラブルになってしまう場合もありますから、シュミレーションまで見せてくれる歯科医院が好まれるようになっていると思います。
とはいえ、矯正専門医といえどもいろいろです。
回答2山田歯科医院(兵庫県姫路市)の山田です。
回答日時:2026-03-16 13:02:09
こんにちは。
写真拝見しました、写真から伺えることは右上2番の抜歯は避けられないように思います、右下1番も抜歯になる可能性は高いように思います。
>4番抜歯だと時間が掛かるから。それから、治療を終えても正中線は上下どちらも中心には合わないと思うのでご承知ください」とおっしゃっていました。
一般的な叢生と全く違うので定型的な4番抜歯にはなりそうには思えません。
>ネットで調べると、2番の抜歯は一般的ではないように感じます。
特異的な抜歯ですが歯並びがそもそも特異的ですから2番抜歯で3前歯で仕上げることになります。
>多少時間は掛かっても、審美的になるべく納得の行く仕上がりになれたら良いなと考えているので、2番抜歯で本当に良いのか悩んでいます。
多少時間がかかってもという事ですが時間をかけても仕上がらないように思います。
>2番抜歯で本当に良いのか悩んでいます。
個人的には4番抜歯ではお引き受けしません。
>下の飛び出している1番を抜歯するという事は一般的なのでしょうか?
一般的ではありませんが私も1番抜歯で治療計画を立てます。
参考になれば幸いです。
写真拝見しました、写真から伺えることは右上2番の抜歯は避けられないように思います、右下1番も抜歯になる可能性は高いように思います。
>4番抜歯だと時間が掛かるから。それから、治療を終えても正中線は上下どちらも中心には合わないと思うのでご承知ください」とおっしゃっていました。
一般的な叢生と全く違うので定型的な4番抜歯にはなりそうには思えません。
>ネットで調べると、2番の抜歯は一般的ではないように感じます。
特異的な抜歯ですが歯並びがそもそも特異的ですから2番抜歯で3前歯で仕上げることになります。
>多少時間は掛かっても、審美的になるべく納得の行く仕上がりになれたら良いなと考えているので、2番抜歯で本当に良いのか悩んでいます。
多少時間がかかってもという事ですが時間をかけても仕上がらないように思います。
>2番抜歯で本当に良いのか悩んでいます。
個人的には4番抜歯ではお引き受けしません。
>下の飛び出している1番を抜歯するという事は一般的なのでしょうか?
一般的ではありませんが私も1番抜歯で治療計画を立てます。
参考になれば幸いです。
回答3
回答4月島矯正歯科(中央区月島)の今村です。
回答日時:2026-03-23 12:56:19
こんにちは
上顎側切歯が口蓋側に転移しており、犬歯と中切歯との間にスペースないという症例は時々拝見することがあります。
その際、小臼歯を抜歯するのか、側切歯を抜歯するのかと考えることはあります。
側切歯を抜く利点としては、治療期間が短くて済むということはあるでしょう。
通常2年から3年という説明がなされますが、1年から2年で終了するということもできるかもしれません。
ただ、側切歯を抜歯した場合、前歯部の配列状態が、通常とはかなり異なる形になり、それは犬歯の尖頭を落としてもやはり違和感がぬぐえない歯並びになります。
ということからすれば、側切歯に特段の問題がないのであれば、通常の小臼歯抜歯を極力選びたいところです。
友人にも聞いてみましたが、やはり小臼歯を抜くだろうという答えでした。
この場合、側切歯の歯根の状態がどうかということが唯一の気がかりということで、歯根吸収を起こしているといったこととがあるのであれば、やむを得ずこちらを選択するということはあるでしょう。
また、犬歯との移転歯であるような場合は、正常な位置には配列できませんので、どちらかを抜歯するということにはなります。
とはいっても、現状のお写真からすれば、移転歯の可能性は低そうに思えます。
もう一点付け加えるとすれば、この側切歯は隣接歯と近接しているため、配列した場合にやや歯間乳頭が下がるということにはなりそうです。
なお、下顎の前歯部についていえば、上顎歯列との関係もあるため、場合によっては非抜歯ということも考えられます。
上顎側切歯が口蓋側に転移しており、犬歯と中切歯との間にスペースないという症例は時々拝見することがあります。
その際、小臼歯を抜歯するのか、側切歯を抜歯するのかと考えることはあります。
側切歯を抜く利点としては、治療期間が短くて済むということはあるでしょう。
通常2年から3年という説明がなされますが、1年から2年で終了するということもできるかもしれません。
ただ、側切歯を抜歯した場合、前歯部の配列状態が、通常とはかなり異なる形になり、それは犬歯の尖頭を落としてもやはり違和感がぬぐえない歯並びになります。
ということからすれば、側切歯に特段の問題がないのであれば、通常の小臼歯抜歯を極力選びたいところです。
友人にも聞いてみましたが、やはり小臼歯を抜くだろうという答えでした。
この場合、側切歯の歯根の状態がどうかということが唯一の気がかりということで、歯根吸収を起こしているといったこととがあるのであれば、やむを得ずこちらを選択するということはあるでしょう。
また、犬歯との移転歯であるような場合は、正常な位置には配列できませんので、どちらかを抜歯するということにはなります。
とはいっても、現状のお写真からすれば、移転歯の可能性は低そうに思えます。
もう一点付け加えるとすれば、この側切歯は隣接歯と近接しているため、配列した場合にやや歯間乳頭が下がるということにはなりそうです。
なお、下顎の前歯部についていえば、上顎歯列との関係もあるため、場合によっては非抜歯ということも考えられます。
| タイトル | [写真あり] 叢生を治すための歯列矯正。2番抜歯でよいのか |
|---|---|
| 質問者 | なえやまさん |
| 地域 | 非公開 |
| 年齢 | 37歳 |
| 性別 | 女性 |
| 職業 | 非公開 |
| カテゴリ |
矯正で抜いた・抜く予定 抜歯:2番(側切歯) 歯列矯正の治療法 叢生(ガタガタの歯並び) |
| 回答者 |
- 上記書き込みの内容は、回答当時のものです。
- 歯科医療は日々発展しますので、回答者の考え方が変わることもあります。
- 保険改正により、保険制度や保険点数が変わっていることもありますのでご注意ください。







