[写真あり] ブリッジの仮歯を何度調整しても噛むと痛みがある
相談者:
あや2222さん (34歳:女性)
投稿日時:2025-08-08 17:42:06
お世話になっております。
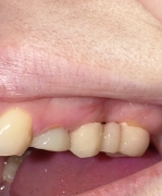
今左上のブリッジのことなのですが5番(神経なし)6番欠損、7番(神経あり)のブリッジの治療で仮歯をしております。
今日3度目の調整だったのですが、3度目の調整でも噛んだ時、すり潰す動作、ぐっと噛んで離す時に痛いのが改善されません。
仮歯の調整を3度してもなかなか噛み合わせがうまくいかないことはよくあることなのでしょうか?
ご飯やパスタを噛む時は痛くないのですが、それ以外にほうれん草やお肉、お刺身などの繊維質のものは全て痛いです。
ブリッジにする前の単冠の時は痛くなかったのでブリッジにしてよかったのかも不安になっております。
仮歯の状態で他院に行くのも良くないと思っていて、、どうしていいのかわからない状態です。
また仮歯のダミーのところに隙間があるのですが、形状的に問題ないでしょうか?
フロスや歯間ブラシは禁止されておりそこから虫歯にならないかも不安です。
重ね重ね質問ばかりで恐縮ですが、お答えいただけたら大変ありがたいです。
よろしくお願いします。
画像1
今左上のブリッジのことなのですが5番(神経なし)6番欠損、7番(神経あり)のブリッジの治療で仮歯をしております。
今日3度目の調整だったのですが、3度目の調整でも噛んだ時、すり潰す動作、ぐっと噛んで離す時に痛いのが改善されません。
仮歯の調整を3度してもなかなか噛み合わせがうまくいかないことはよくあることなのでしょうか?
ご飯やパスタを噛む時は痛くないのですが、それ以外にほうれん草やお肉、お刺身などの繊維質のものは全て痛いです。
ブリッジにする前の単冠の時は痛くなかったのでブリッジにしてよかったのかも不安になっております。
仮歯の状態で他院に行くのも良くないと思っていて、、どうしていいのかわからない状態です。
また仮歯のダミーのところに隙間があるのですが、形状的に問題ないでしょうか?
フロスや歯間ブラシは禁止されておりそこから虫歯にならないかも不安です。
重ね重ね質問ばかりで恐縮ですが、お答えいただけたら大変ありがたいです。
よろしくお願いします。
画像1

回答1小林歯科クリニック(渋谷区神宮前)の小林です。
回答日時:2025-08-09 22:10:34
>重ね重ね質問ばかりで恐縮です
同部位に対しての質問なのでしたら、立て続けにスレッドを立てず、前の投稿に続けてくださると、読み直しの無駄が無くて良かったですね。
>何度調整しても良くならない仮歯について
仮歯を調整するのではなく、支台歯の加療が常套な状態なのかもしれません。
>噛んだ時、すり潰す動作、ぐっと噛んで離す時に痛いのが改善されません。
何かを確かめるかのように、わざわざ刺激を当該部位に与えるような行為は、如何なものかと思います。
他院に行くことを検討する以前に、「 安静 」 を心掛けた生活を送ることを勧めます。
この辺りの是正が徹底できなければ、どう加療しても、うまくいかない可能性があります。
>フロスや歯間ブラシは禁止されておりそこから虫歯にならないかも不安です。
ブリッジなのであれば、フロスは入りませんね。
歯間ブラシが禁止されているのは、生活歯を保護している左上7番から仮歯が外れない為かもしれません。
担当医に意図を確認してください。
同部位に対しての質問なのでしたら、立て続けにスレッドを立てず、前の投稿に続けてくださると、読み直しの無駄が無くて良かったですね。
>何度調整しても良くならない仮歯について
仮歯を調整するのではなく、支台歯の加療が常套な状態なのかもしれません。
>噛んだ時、すり潰す動作、ぐっと噛んで離す時に痛いのが改善されません。
何かを確かめるかのように、わざわざ刺激を当該部位に与えるような行為は、如何なものかと思います。
他院に行くことを検討する以前に、「 安静 」 を心掛けた生活を送ることを勧めます。
この辺りの是正が徹底できなければ、どう加療しても、うまくいかない可能性があります。
>フロスや歯間ブラシは禁止されておりそこから虫歯にならないかも不安です。
ブリッジなのであれば、フロスは入りませんね。
歯間ブラシが禁止されているのは、生活歯を保護している左上7番から仮歯が外れない為かもしれません。
担当医に意図を確認してください。
相談者からの返信相談者:
あや2222さん
返信日時:2025-08-09 22:29:57
小林誠先生ご返信ありがとうございます。
本体支台歯はもともと問題ないと判断されており仮歯をつけておりますが、仮歯ではなく支台歯に問題がある可能性があるということでしょうか?
噛んだ時、すり潰す行為、ぐっと噛んで離す時に痛い、と言うのは確かめているのではなく、実際に食事する時に痛いのでそれを注意深く観察していて言語化したもので、けして確かめているものではありません。
また、この仮歯でしか今噛めない状態なので安静にするというのは難しいです。
仮歯を3回調整しても合わないことはありますか?
よくあることなのでしたら他院の検討はしない方がいいと思っていますが、これがずっと続くと今支台歯にしている歯まで悪くなるんじゃないかと不安になっており質問させていただきました。
安静にできる、仮歯側で噛まないでよいのであればそれに越したことはないのですがこちら側でしか噛めない状態なので精神的にも不安になっていて相談させていただきました。
また添付した仮歯の形状的にダミーの歯に隙間があるのですがフロスや歯間ブラシは禁止されているのですがこの隙間がある形状はよくある仮歯の形ですか?
このような形状の場合普通に歯ブラシするだけでいいのでしょうか?
お忙しい中恐れ入りますがご回答いただけましたら幸いです。
よろしくお願いいたします。
本体支台歯はもともと問題ないと判断されており仮歯をつけておりますが、仮歯ではなく支台歯に問題がある可能性があるということでしょうか?
噛んだ時、すり潰す行為、ぐっと噛んで離す時に痛い、と言うのは確かめているのではなく、実際に食事する時に痛いのでそれを注意深く観察していて言語化したもので、けして確かめているものではありません。
また、この仮歯でしか今噛めない状態なので安静にするというのは難しいです。
仮歯を3回調整しても合わないことはありますか?
よくあることなのでしたら他院の検討はしない方がいいと思っていますが、これがずっと続くと今支台歯にしている歯まで悪くなるんじゃないかと不安になっており質問させていただきました。
安静にできる、仮歯側で噛まないでよいのであればそれに越したことはないのですがこちら側でしか噛めない状態なので精神的にも不安になっていて相談させていただきました。
また添付した仮歯の形状的にダミーの歯に隙間があるのですがフロスや歯間ブラシは禁止されているのですがこの隙間がある形状はよくある仮歯の形ですか?
このような形状の場合普通に歯ブラシするだけでいいのでしょうか?
お忙しい中恐れ入りますがご回答いただけましたら幸いです。
よろしくお願いいたします。
回答2小林歯科クリニック(渋谷区神宮前)の小林です。
回答日時:2025-08-10 18:53:16
>安静にできる、仮歯側で噛まないでよいのであればそれに越したことはないのですがこちら側でしか噛めない状態
実際の状態が判りませんが、早急に右側の咬合の確保を勧めます。
繰り返しになりますが、左側の 「 安静 」 が得られなければ、今の痛みからは解放されないように思っています。
>普通に歯ブラシするだけでいいのでしょうか?
あや2222 さんにとっての普通というのが分かりませんが、添付の写真を見る限り、少なくとも、既治療歯が3本、欠損も1本あるのですよね。
ということは、決して極々一般的な普通には届いていないと思わざるを得ません。
実際の状態が判りませんが、早急に右側の咬合の確保を勧めます。
繰り返しになりますが、左側の 「 安静 」 が得られなければ、今の痛みからは解放されないように思っています。
>普通に歯ブラシするだけでいいのでしょうか?
あや2222 さんにとっての普通というのが分かりませんが、添付の写真を見る限り、少なくとも、既治療歯が3本、欠損も1本あるのですよね。
ということは、決して極々一般的な普通には届いていないと思わざるを得ません。
相談者からの返信相談者:
あや2222さん
返信日時:2025-08-10 19:49:44
小林先生お忙しい中お返事ありがとうございます。
右側の下をインプラントにするか部分義歯にする前にまずは噛み合わせを安定する目的で左上の噛み合わせを安定させる為に先に今の仮歯の場所のブリッジ治療をしている状態です。
なので後々の右側の噛み合わせのためのブリッジ治療仮歯なので、
右側の咬合確保ができない状態です。
なので左側でしか咀嚼ができません。
ということは今はもうなす術がないという状況でしょうか?
私も繰り返しにはなりますがこのように何回調整しても合わないことはあるのでしょうか?
それ次第でセカンドオピニオンも考えたいです。教えていただけたらと思います。
普通に歯ブラシするだけでいいのでしょうか?に関しては先生が認識されている歯磨きのフロスも歯間ブラシも使わない場合の一般的な通常の歯ブラシのやり方で考えていただけたらと思います。
5番(神経なし)、6番欠損、7番(神経あり)の歯の6番欠損の部分が歯茎とダミーの歯に隙間があるのでこれは形状的にはよくある仮歯の形なのか?
その場合通常の歯磨きで大丈夫なのかということを知りたくて質問した次第です。
右側の下をインプラントにするか部分義歯にする前にまずは噛み合わせを安定する目的で左上の噛み合わせを安定させる為に先に今の仮歯の場所のブリッジ治療をしている状態です。
なので後々の右側の噛み合わせのためのブリッジ治療仮歯なので、
右側の咬合確保ができない状態です。
なので左側でしか咀嚼ができません。
ということは今はもうなす術がないという状況でしょうか?
私も繰り返しにはなりますがこのように何回調整しても合わないことはあるのでしょうか?
それ次第でセカンドオピニオンも考えたいです。教えていただけたらと思います。
普通に歯ブラシするだけでいいのでしょうか?に関しては先生が認識されている歯磨きのフロスも歯間ブラシも使わない場合の一般的な通常の歯ブラシのやり方で考えていただけたらと思います。
5番(神経なし)、6番欠損、7番(神経あり)の歯の6番欠損の部分が歯茎とダミーの歯に隙間があるのでこれは形状的にはよくある仮歯の形なのか?
その場合通常の歯磨きで大丈夫なのかということを知りたくて質問した次第です。
回答3小林歯科クリニック(渋谷区神宮前)の小林です。
回答日時:2025-08-11 19:09:11
>今はもうなす術がないという状況でしょうか?
回答2に書いた 「 右側の咬合の確保 」 が基本の基でしょうし、日常の生活に支障があるようでしたら、7番の抜髄も選択肢に挙がります。
>このように何回調整しても合わないことはあるのでしょうか?
支台歯の状態に依っては、あると思いますよ。
>これは形状的にはよくある仮歯の形なのか?その場合通常の歯磨きで大丈夫なのかということを知りたくて
外観の写真では、支台歯の切削量や形状などが判りませんので、連休明け早々にでも、担当医に確認してください。
回答2に書いた 「 右側の咬合の確保 」 が基本の基でしょうし、日常の生活に支障があるようでしたら、7番の抜髄も選択肢に挙がります。
>このように何回調整しても合わないことはあるのでしょうか?
支台歯の状態に依っては、あると思いますよ。
>これは形状的にはよくある仮歯の形なのか?その場合通常の歯磨きで大丈夫なのかということを知りたくて
外観の写真では、支台歯の切削量や形状などが判りませんので、連休明け早々にでも、担当医に確認してください。
| タイトル | [写真あり] ブリッジの仮歯を何度調整しても噛むと痛みがある |
|---|---|
| 質問者 | あや2222さん |
| 地域 | 非公開 |
| 年齢 | 34歳 |
| 性別 | 女性 |
| 職業 | 非公開 |
| カテゴリ |
歯科治療中の歯の痛み ブリッジ治療法 ブリッジその他 その他(写真あり) |
| 回答者 |
|
- 上記書き込みの内容は、回答当時のものです。
- 歯科医療は日々発展しますので、回答者の考え方が変わることもあります。
- 保険改正により、保険制度や保険点数が変わっていることもありますのでご注意ください。





