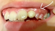
[写真あり] 10歳児、乳歯が抜けないうちに生えてきた犬歯
相談者:
ちび丸さん (10歳:女性)
投稿日時:2026-02-25 21:43:40
回答1小林歯科クリニック(渋谷区神宮前)の小林です。
回答日時:2026-02-26 13:17:48
表面からの観察も大事ですが、粘膜下・骨内でどのような状態にあるのかを、動揺が発現したという直近3カ月前以降に撮影したレントゲンで診査することも大事です。
ご本人や保護者の方の希望もあろかとは思いますが、お掛かりの歯科医院に判断を仰ぐのが良いように思います。
ご本人や保護者の方の希望もあろかとは思いますが、お掛かりの歯科医院に判断を仰ぐのが良いように思います。
回答2船橋歯科医院(岡山市北区)の船橋です。
回答日時:2026-02-26 14:03:54
こんにちは。
乳歯の抜歯時期は良い歯並びを獲得させるために戦略的に行う場合もありますので、かかりつけの歯科医院でご相談いただくのが良いと思います。
その際は単純にグラグラしているから抜く程度の診療でしたらそのまま抜いてしまうかもしれませんが、良い歯並びの獲得まで責任を持ってくれている歯科医院であればレントゲン検査なども行ってくれるのではないかと思います。
かかりつけ歯科がどのレベルまで行ってくれているのか?によりけりでしょうが、ご家庭で抜けるまで待って親が抜くなども昔はよくあったと思います。目指すレベルは色々ですね。
乳歯の抜歯時期は良い歯並びを獲得させるために戦略的に行う場合もありますので、かかりつけの歯科医院でご相談いただくのが良いと思います。
その際は単純にグラグラしているから抜く程度の診療でしたらそのまま抜いてしまうかもしれませんが、良い歯並びの獲得まで責任を持ってくれている歯科医院であればレントゲン検査なども行ってくれるのではないかと思います。
かかりつけ歯科がどのレベルまで行ってくれているのか?によりけりでしょうが、ご家庭で抜けるまで待って親が抜くなども昔はよくあったと思います。目指すレベルは色々ですね。
相談者からの返信相談者:
ちび丸さん
返信日時:2026-02-26 15:27:13
回答3山田歯科医院(兵庫県姫路市)の山田です。
回答日時:2026-02-27 13:05:50
こんにちは。
乳歯が抜けないうちに永久歯が出てきて心配なさっているようですね。
写真から推測すると永久歯が少々遅れているように見えますが、個人的にはこのまま経過観察でいいように思います。
このように乳歯が残る場合は永久歯の位置がずれていることが考えられますしかし乳歯に動揺が出てきているので敢えて介入は見送ったほうがいいように思います。
どうしても気になうというなら抜歯もありだと思います。
>むしろスペースを保つため
この時期ではスペースのことは気にしなくていいと思います。
乳歯が抜けないうちに永久歯が出てきて心配なさっているようですね。
写真から推測すると永久歯が少々遅れているように見えますが、個人的にはこのまま経過観察でいいように思います。
このように乳歯が残る場合は永久歯の位置がずれていることが考えられますしかし乳歯に動揺が出てきているので敢えて介入は見送ったほうがいいように思います。
どうしても気になうというなら抜歯もありだと思います。
>むしろスペースを保つため
この時期ではスペースのことは気にしなくていいと思います。
相談者からの返信相談者:
ちび丸さん
返信日時:2026-02-27 15:31:52
回答4
相談者からの返信相談者:
ちび丸さん
返信日時:2026-03-03 14:10:17
回答5E Eデンタル(愛知県豊橋市)の井野です。
回答日時:2026-03-06 09:29:33
あまりネットの情報を鵜呑みにしない方がいいですよ。
私の子供の小児歯科医は晩期残存の乳歯は歯並びが悪くなると判断し、あまりにも左右差がある場合は積極的に乳歯を抜いています。
歯並びが悪いのは病気ではないので、かかりつけの先生もどっちでもいいと判断したかもしれませんが、親御さんが子供の歯並びまで気にするのであれば、小児専門の歯科医師の歯科医院で意見を聞いた方がいいと思います。
おだいじに
私の子供の小児歯科医は晩期残存の乳歯は歯並びが悪くなると判断し、あまりにも左右差がある場合は積極的に乳歯を抜いています。
歯並びが悪いのは病気ではないので、かかりつけの先生もどっちでもいいと判断したかもしれませんが、親御さんが子供の歯並びまで気にするのであれば、小児専門の歯科医師の歯科医院で意見を聞いた方がいいと思います。
おだいじに
相談者からの返信相談者:
ちび丸さん
返信日時:2026-03-06 20:44:38
井野先生、ありがとうございます。
反対側は早々に抜けて永久歯が生えるまで時間があり、こちら側はなかなか抜けないうちに永久歯が見えてきてしまいました。
春休みに入ったらもう一度診てもらうことにします。
ありがとうございました!
反対側は早々に抜けて永久歯が生えるまで時間があり、こちら側はなかなか抜けないうちに永久歯が見えてきてしまいました。
春休みに入ったらもう一度診てもらうことにします。
ありがとうございました!
| タイトル | [写真あり] 10歳児、乳歯が抜けないうちに生えてきた犬歯 |
|---|---|
| 質問者 | ちび丸さん |
| 地域 | 非公開 |
| 年齢 | 10歳 |
| 性別 | 女性 |
| 職業 | 非公開 |
| カテゴリ |
歯が抜けた・抜く予定 その他 その他(写真あり) 乳歯(子供の歯)が抜けた・抜歯予定 歯の生え方、生える位置(乳歯・永久歯) |
| 回答者 |
- 上記書き込みの内容は、回答当時のものです。
- 歯科医療は日々発展しますので、回答者の考え方が変わることもあります。
- 保険改正により、保険制度や保険点数が変わっていることもありますのでご注意ください。









