歯科相談掲示板 歯科相談を投稿 回答者に参加 歯科相談室TOP


歯科相談掲示板TOPに戻る

タイトル 再RCTで未処置根尖病変根管が石灰化。どうすればいいか?
相談者 -ふみ-
年齢 48 歳
性別 男性
地域 非公開
職業 非公開

当サイト上のいかなる情報も、利用者への資料提供を目的としたものであり、決して医師の診断を代替するものではありません。

弊社は常に利用者にとって有益な情報を正確に伝えるために万全を尽くしておりますが、特に医療・健康に関する情報は、全ての個人に一様に当てはまるわけではない個別性の高い情報が数多く含まれております。

したがって、当サイトの情報の利用並びにその情報に基づく判断においては、上記の特性および免責事項を十分理解した上で、また、現実的な利用においては、しかるべき資格を有する医師や薬剤師等に個別に相談するなど、ユーザーの皆様の責任において細心の注意を払って行ってください。

弊社は、当サイトのサービスにより、利用者及び第三者に直接的または間接的に生じた損害について、一切の責任を負いません。


質問 - -ふみ- 2025/07/01(Tue) 08:39
回答1 - Dr.ふなちゃん 2025/07/01(Tue) 10:19
返信1 - -ふみ- 2025/07/01(Tue) 18:03
回答2 - 井野泰伸 2025/07/02(Wed) 08:25
回答3 - Dr.ふなちゃん 2025/07/02(Wed) 09:57
回答4 - 森川 2025/07/02(Wed) 10:23
返信2 - -ふみ- 2025/07/02(Wed) 11:10
返信3 - -ふみ- 2025/07/02(Wed) 11:15
返信4 - -ふみ- 2025/07/02(Wed) 11:21
回答5 - 井野泰伸 2025/07/02(Wed) 13:42
返信5 - -ふみ- 2025/07/02(Wed) 20:14
回答6 - 柴田 (評価3.9) 2025/07/02(Wed) 21:22
回答7 - 柴田 (評価3.9) 2025/07/02(Wed) 21:45
返信6 - -ふみ- 2025/07/03(Thu) 07:52
返信7 - -ふみ- 2025/07/04(Fri) 18:06
返信8 - -ふみ- 2025/07/08(Tue) 05:24
返信9 - -ふみ- 2025/07/09(Wed) 15:01

  過去の質問 1 - 2025/09/07(Sun) 21:25 - ご報告と質問/ガッタパーチャの方式について、レジ…
  過去の質問 2 - 2025/07/28(Mon) 10:19 - [写真あり] 再根管治療で未処置根尖病変根管が石…
  過去の質問 他50件


質問 -ふみ- 2025/07/01(Tue) 08:39

いつもお世話になっております。

今回の相談は、「再RCTで未処置根尖病変根管が石灰化。どうすればいいか?」です。

大きな根尖病変があるRCT漏れの根管の半分が石灰化でファイルが進まない模様です。
質問ですが、
1)RCT漏れで歯髄が歯質に置き換わり石灰化で根管が閉ざされた時は、その部分は周りの歯質と同様の完全なる象牙質になってしまうのでしょうか?元が歯髄腔のためその部分は脆かったり、目が粗かったりするのでしょうか?

2)大きな根尖病変があるため、できれば根尖近くに薬を置きたい気持ちはあります。しかし、臨床では石灰化で根尖までファイルが通せない場合は通るところまで清掃をしてRCFを済ませるというのも方法としてあります。この場合、RCFの薬剤が元の歯髄腔に染み込み根尖下まで届くのでしょうか?根尖付近が疼くため、根尖近くに薬を置きたいです。

3)根管内の雑菌を可能な限り減らすと、薬が近くになくても病変は減少していくと考えてよいでしょうか?

4)石灰化してしまった根管を穿通させる方法はありますか?

5)自分でCTを見ると、ひょっとしたら、根管が屈折しているようで直角に曲がってる方に通していて、まだまっすぐに通る方に通せていないのかもしれないため、次回伝えてみます。それでも、直角で横になった部分はファイルは直角に曲がらないため根管が横になった部分の掃除は無理ですね。


ご回答お待ちしています。

画像1根管石灰化.jpg
回答1 Dr.ふなちゃん 2025/07/01(Tue) 10:19

船橋歯科医院(岡山市北区)の船橋です。

こんにちは。

まずは穿通することが先ですからパイロットリーマーでの穿通が先ではないかと思います。いきなりファイルは使ってないと思います(使っても通らないのでは?)。

石灰化していればそれを溶解するための薬剤がどこの歯科医院にも置いてあると思います。
通常のやり方では、薬剤は10分作用させて50から70μmしか浸透しないとい学術的報告があります。未穿通部分の長さは3mm以上あることがほとんどだったりしますから、平均で穿通だけで7回以上の通院が必要なのではないかという試算があります(論文で)。

想像ですが、石灰化していて即日穿通は無理なのですでに貼薬されているのではないかと思います。頑張らないといけないのは歯科医側なので、通院回数は増えてもきちんと通院いただくことが大切ではないかと思います。

非常に地道な治療ですから、特効薬などありませんから、(やり方は色々あると思いますがそれを一般にしてもらえるか?は疑問大です)諦めずに指示された通りに通院されるしかないと想像します。

>1)象牙質とは異なります。

>2)穿通してもらうのが良いと思います。

>3)根管内の細菌を減らすのは大原則だと思います。病変が減少するかは分かりませんが、急激に拡大しないようにしておきたいでしょう。

>4)通常、EDTAなどのキレート剤がどこの一般歯科にも置いてあるでしょう。

>5)CTは断層を移動させながら画像構築可能なのですが、断層もつなぎ絵です。
返信1 -ふみ- 2025/07/01(Tue) 18:03

>船橋先生

いつも詳細なご回答ありがとうございます。
穿通が先なのですね。
恐らく、根管拡大・清掃をしてファイルがそれ以上入らないところまでいったようなことを言っておりました。
それで、穿通させず次回RCFをしてしまうという話がありました。
根尖病変が大きいのでできることなら穿通させたいのですが。
やはり、EDTAでございますね。
既に、次亜塩素酸水を使ってるみたいですので、その作用で逆に石灰化を促進してしまっているんじゃないかとも思います。

明日が診察日ですので、再度、回数がかかってもいいので穿通できないか聞いてみます。
回答2 井野泰伸 2025/07/02(Wed) 08:25

E Eデンタル(愛知県豊橋市)の井野です。

>石灰化していればそれを溶解するための薬剤がどこの歯科医院にも置いてあると思います。
 
たまにGPの先生でこういうこと言われる先生ますが、都合よく石灰化した場所だけ溶かす薬剤はありませんよ。
 
EDTAであればもれなく象牙質が全部が溶けます。
長時間使えば歯が弱くなります。 
 
 
学派にもよりますが、石灰化して穿通できなければそこまでを作業長として、そこまで清掃して根管充填します。
専門医レベルの先生であれば、穿通が無くてもそこまで徹底的に清掃するだけでも60%近くの成功率があります。
それで治らなければ外科的歯内療法であとで外科的に治します。
 
http://eedental.jp/ee_diary/2020/09/post-2125.html 

>根尖近くに薬を置きたいです。
 
根管充填材はただのゴムなので、根管充填前までの化学的洗浄で菌数を減らします。
根管充填材が根の先まで入っていれば大丈夫などは過去の考え方であり、ゴムに薬効はあまり求めない方がいいでしょうね。

おだいじに
回答3 Dr.ふなちゃん 2025/07/02(Wed) 09:57

船橋歯科医院(岡山市北区)の船橋です。

>>石灰化していればそれを溶解するための薬剤がどこの歯科医院にも置いてあると思います。
 
たまにGPの先生でこういうこと言われる先生ますが、都合よく石灰化した場所だけ溶かす薬剤はありませんよ。
 
EDTAであればもれなく象牙質が全部が溶けます。
長時間使えば歯が弱くなります。




こちらについて記載を割愛していました。象牙質も同時に溶かすことでリーマーを穿通させることを可能にしていく方法になります。ですからとても神経を使います。

穿通に拘らず妥当なところでやめておけばよかったという場合もあり得ますね。
治療の引き際が大切という場合はしばしばあります。


詳細に記載がある参考論文は以下です。ご参考にしてください。
ナノバブル水はある種のレーザー(根管治療モード)を使っても生成可能です。
https://www.jstage.jst.go.jp/article/shikahozon/62/3/62_152/_pdf


 
回答4 森川 2025/07/02(Wed) 10:23

ポプラ小児歯科医院(千葉県茂原市)の森川です。

気になったところ1点だけ、

>5)自分でCTを見ると、ひょっとしたら、根管が屈折しているようで直角に曲がってる方に通していて、まだまっすぐに通る方に通せていないのかもしれないため、次回伝えてみます。

非常に高い確率でひょっとしませんよ。

患者さんっていろんなこと考えるんだなぁ〜 って思っちゃいました。
返信2 -ふみ- 2025/07/02(Wed) 11:10

>井野先生

コメントありがとうございます。
必ずしも穿通しなければいけないというものでもないという説もありますものね。
穿通させなくても、手前までの根管清掃で根尖病変が治まっていくのであればそれでも問題なしです。

>ゴムに薬効はあまり求めない方がいいでしょうね。
⇒これにつきましては、ガッタパーチャの先数ミリのところに薬を入れるのではないでしょうか?
RCF確認のレントゲンを見ても、根尖から数ミリはゴムの白色がない箇所は薬じゃないんでしょうか。
返信3 -ふみ- 2025/07/02(Wed) 11:15

>船橋先生

コメントありがとうございます。
EDTAは通常の根管治療でも根管の内面壁をなめらかにするために用いるんでしたっけ?
そういう意味で、象牙質も溶かすんでしょうね。

都合よく石灰化した部分のみを溶かすことはないでしょうけど、後から石灰化した部分と元の象牙質の硬さ等の質には差があるように思うのですが、実際どうなのでしょうね。

とりあえず、今日は午後から診察ですので話して最善の方法で進めることにします。
返信4 -ふみ- 2025/07/02(Wed) 11:21

>森川先生

はじめまして。
コメントありがとうございます。
患者は勝手に色んなことを思いますが、特に私は歯に興味があって、いろんな原因とか歯科医師1人だと気付いていないかもしれない箇所を探ってみたりするので特殊な患者ですよ(笑)

マイクロスコープを使っても曲がった後の根管の状態は見えないと思いますので、枝別れした根管があったとしてもプロなので必ず発見してる?でしょうか?

現場ではCTで根管の確認もそんなにしてませんでしたし、マイクロスコープを使わずに現状進めてますので、枝別れの他方にファイルを通せてないんじゃないかなーと考えたりしてます。

ただ、行き止まりの根管に通してしまったものを、途中からファイル1本で枝の根管を探って通すなんて簡単にできるんでしょうか?

今日の午後、診察に行って聞いてみます。
回答5 井野泰伸 2025/07/02(Wed) 13:42

E Eデンタル(愛知県豊橋市)の井野です。

https://www.jstage.jst.go.jp/article/shikahozon/62/3/62_152/_pdf
 
これどうやってオリジナルの根管を削っていると判断できるのですかね!?
問題ない部分の象牙質削っても治る気がしないのですが。

ファイルの押す方向にしか形成できないと思いますが、石灰化した部分を削っているという根拠が分かりません。
問題無い場所にパフォレーションを起こし医原性の問題を作ってしまうような気がします。 

外科的歯内療法が出来ない先生の苦肉の策かもしれませんが、その後を引き継ぐ側からすると、根尖辺りにパフォレーション起こした外科は根尖とパフォ2か所処理しないといけないので、お願いだから止めて欲しいです。

 
EDTAは個人的にはスメア層を取り象牙細管を露出させ洗浄効果を上げることぐらいしか使っていませんね。(たぶん専門医では一般的な使い方だと思います)

またスメア層を取ることの是非も未だに分かっていませんしね。
 

アメリカは州によってはGPの先生に大臼歯の根管治療を止めさせていると聞きますが、無理して治療するぐらいなら紹介状書いて専門医に来てもらった方がシンプルに治療が済ませられます。
返信5 -ふみ- 2025/07/02(Wed) 20:14

進捗報告7/2

今日、この続きを進めてきました。
前回までEDTAは使っていなかったようで、今日は使ってやってみてくださいました。
前回より少しファイルの深度が増したそうです。

ただ、二股のどちらが進んだのか(前回の箇所プラスでしょうから方向は前回と同じでしょう)、それが正解なのかわかりません。

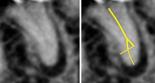
画像の右側の根管を突き進むとパーフォレーションになりますので、普通患者がこういうこと言いませんが、次回、今入るところまでファイルを挿した状態でデンタル撮影を提案してみようと思います。
右側の根管に進んでいればもうやめておく方がいいと思いますので。

画像の通りの根管形態であれば、普通に考えると、右側にファイルは進むと思いますしね。


次回は7/4に予約です。
また報告を書きます。
回答6 柴田 (評価3.9) 2025/07/02(Wed) 21:22

顕微鏡歯科シバタ(名古屋市守山区大森)の柴田です。

CTの一部切り取りの画像なんでしょうか?

個人的には閉塞根管とは思いません。

だからといって穿通できるとは言いません。

このような歯の治療を依頼されたら抜歯をお勧めします。歯質が足りないので。
回答7 柴田 (評価3.9) 2025/07/02(Wed) 21:45

顕微鏡歯科シバタ(名古屋市守山区大森)の柴田です。

https://www.jstage.jst.go.jp/article/shikahozon/62/3/62_152/_pdf

より引用

「根管内に20μL導入し」とありますが

1μLは0.001mlなので20μLは0.02mlになると思います。。

水一滴は0.04mlぐらいだそうです。
返信6 -ふみ- 2025/07/03(Thu) 07:52

>井野先生

解説ありがとうございます。
患者としてできることは、歯科医師は専門家で様々な可能性を考えられていることと存じますが、多くの患者を診ていらっしゃることでお疲れもあるでしょうし、画像診断ひとつにしても発見漏れも発生することと思います(過去に実際に何度かありました)ので、それを補う部分があってもいいと思っています。
EDTAを使って、深度が増しても当初の根管から外れていっていれば意味ありませんので、その確認の意味でも次回はファイルを挿したままデンタル撮影を提案してみようと思います。
ただ、ファイルの進んでいる方向はわかりますが、石灰化した正しい根管は写らないと思いますのでどれだけ参考になるかはあるように思います。



>柴田先生

いつもありがとうございます。
CTの切り抜きです。
いつもよく画像を見られてますね。

>個人的には閉塞根管とは思いません。
⇒一応根管の影が写っているため、かなり細くなっていても根管はあるということでございますね。

この画像だけだと、根尖から少し上の辺りで、根管の影が消えていますので、そこは石灰化で埋まってしまっているのかなと思っています。
この画像の通りの根管形態と仮定して、二股の左側の根管にファイルが進んでくれていれば石灰化部分があっても、そのまま進めば再び根管につながると思うのでいいのですが、右側の根管にファイルが進んでしまっていれば、今から左側根管を探って穿通させるのはもう困難だと思いますので諦めようと思っています。
返信7 -ふみ- 2025/07/04(Fri) 18:06

進捗報告7/4

この続きを進めてきました。
今日もEDTAを使って石灰化根管の穿通を試みていただきました。
今日は前回からほとんど進まなかったとのことです。
次回もう一度やってみて、それでも進まなければもうそれ以上はやめておくことを、担当医も私も同感の状況です。
CTでは完全閉塞してなさそうに見えますが、一部分でかなり硬化してしまってて進まない状態なのかな、と思っています。
そんなにファイルに力を加えていないということなので、象牙質にぶつかって進まないというものではないと思ってはいるのですが。

EDTAを使っても、進まないこともあるのですね…

柴田先生が書かれた、
>個人的には閉塞根管とは思いません。
>だからといって穿通できるとは言いません。
この通りになる気がします。さすが、経験から予測ができているということですね。


穿通できなければ、そこに至るまでの根管の清掃の効果(病原菌数の減少)で病変が治まっていくことに期待するしかないですね。今でも石灰化根管により未処置だった部分の病原から離れてて根尖病変がある状態なのに、離れた場所を清掃して治まるのかは疑問ですが、それしかできないので願うしかありませんね。
返信8 -ふみ- 2025/07/08(Tue) 05:24

次回の診察は7/9です。
また報告を書き込みます。
石灰化根管により未処置だった病原から離れた位置に根尖病変があるのに、根尖病変がずっと治らずあるというのは、病原が遠くても影響しているか、病原を取り除いても根尖病変は治まらないかのどちらかになりそうな気がしますがどうなのでしょうか。
返信9 -ふみ- 2025/07/09(Wed) 15:01

進捗報告7/9

この続きを進めてきました。
わざわざ進捗の報告は不要かもしれませんが、この最終結果まで報告するために投稿を上げておかないと自動的にクローズになってしまうため投稿させてもらっております。

前回より、0.5mm程進んだということです。
時間の都合上なのか、EDTAを流して10分放置はされていません。ひょっとしたら3根管なので、EDTAを流しておいて先に他の根管の清掃をしているかもしれませんが。

少し進んだので、次回も穿通に向けて続けていきます。他の歯の治療もあるので、他の歯にも着手してもらい、根管貼薬をして待ち時間が2,3週間あった方がいいので、その間に穿通〜歯冠修復までできればトータルの治療期間が短縮できるのでそう話し合ってきました。

次回の診察は7/11です。

この記事へコメントを投稿、投稿した記事を編集・削除する際にはログインが必要です
一般会員の方は、IDとパスワードを入力してログインしてください

(携帯電話からは閲覧のみ可能で、投稿はできません)

ログインID
パスワード
  • IDとパスワードを忘れた方は こちら
  • 会員登録がお済みでない方は こちら
  • 回答者の方のログインは こちら


歯科相談掲示板TOPに戻る

copyright©2006- 歯医者/歯科情報の歯チャンネル All Rights Reserved.