[写真あり] 左下7番、2度目の根管治療から2ヵ月で歯茎の腫れと痛み
相談者:
ひいらぎさん (63歳:女性)
投稿日時:2026-01-12 23:52:38
左下7番
10年くらい前に一度ラバーダム、マイクロスコープによる根幹治療
25年8月に違和感があり、同じ歯科医で2回目の根幹治療、10月に終了
25年12月少し違和感をかんじていたが、年明けに受診しようと考えていたところ、26.1/6くらいから歯茎が腫れ、歯が浮いて痛くて噛めない
1/8受診、医師は10月のデンタルと患部見ただけで、レントゲンなしで歯肉炎と診断、フロモックス、抗生剤処方
10月のデンタルを見て、
「キレイにしましたから、大丈夫」
と言われてしまいました。
歯の噛み合わせは腫れていて浮き上がっていると言ったら、咬合紙で何度も噛み合わせを噛ませて、削りました、噛むのは痛かったです。
歯肉炎はなったことありますが、ここまでの痛みや腫れはなかったです。
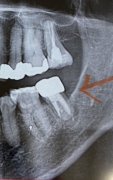
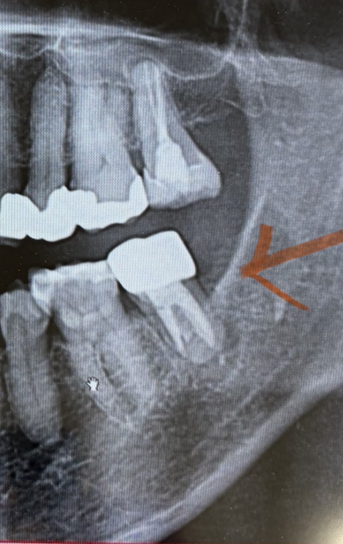
腫れていて、歯のポケットが深いから歯肉炎と言ったようですが、そこしか腫れる場所がなくて歯茎の上の方が腫れて、たぶんフィステルではないかと思いますが、処置を早くしないと骨の吸収が始まってしまいますか?
CTがその歯科医院はないので、あるところじゃないと判断つかないでしょうか?
2回根幹治療していると、歯が弱っているので、やはり抜歯になりますか?
フロモックスで水様便になり、調べてミヤBMを買い求めて飲んでいます。
7日間飲むように出されているので、なんとか飲むつもりですが、普通はこのフロモックスで腫れは引くのでしょうか?
4日服用しましたが、まだ噛むと痛いのと腫れはあります。
次1月15日に再診があります。
その前にどこかCTを撮っていただき、それを持参して判断してもらう方がいいですか?
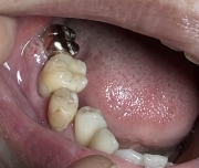
写真は歯科で切開したあと、家で撮りました。
クラウンの横のところが腫れています。
画像1
10年くらい前に一度ラバーダム、マイクロスコープによる根幹治療
25年8月に違和感があり、同じ歯科医で2回目の根幹治療、10月に終了
25年12月少し違和感をかんじていたが、年明けに受診しようと考えていたところ、26.1/6くらいから歯茎が腫れ、歯が浮いて痛くて噛めない
1/8受診、医師は10月のデンタルと患部見ただけで、レントゲンなしで歯肉炎と診断、フロモックス、抗生剤処方
10月のデンタルを見て、
「キレイにしましたから、大丈夫」
と言われてしまいました。
歯の噛み合わせは腫れていて浮き上がっていると言ったら、咬合紙で何度も噛み合わせを噛ませて、削りました、噛むのは痛かったです。
歯肉炎はなったことありますが、ここまでの痛みや腫れはなかったです。
腫れていて、歯のポケットが深いから歯肉炎と言ったようですが、そこしか腫れる場所がなくて歯茎の上の方が腫れて、たぶんフィステルではないかと思いますが、処置を早くしないと骨の吸収が始まってしまいますか?
CTがその歯科医院はないので、あるところじゃないと判断つかないでしょうか?
2回根幹治療していると、歯が弱っているので、やはり抜歯になりますか?
フロモックスで水様便になり、調べてミヤBMを買い求めて飲んでいます。
7日間飲むように出されているので、なんとか飲むつもりですが、普通はこのフロモックスで腫れは引くのでしょうか?
4日服用しましたが、まだ噛むと痛いのと腫れはあります。
次1月15日に再診があります。
その前にどこかCTを撮っていただき、それを持参して判断してもらう方がいいですか?
写真は歯科で切開したあと、家で撮りました。
クラウンの横のところが腫れています。
画像1

[過去のご相談]
回答1小林歯科クリニック(渋谷区神宮前)の小林です。
回答日時:2026-01-13 12:00:09
>CTがその歯科医院はないので、あるところじゃないと判断つかないでしょうか?
>どこかCTを撮っていただき、それを持参して判断してもらう方がいいですか?
機種やモードによって繊細さが異なりますし、そもそも読影力の差異に大きく左右されますので、このケースの場合でしたら、無いより有れば、といった程度のように思います。
>普通はこのフロモックスで腫れは引くのでしょうか?
大なり小なりの軽減はあるかとは思いますが、薬剤の服用だけでは、根本的な治癒は見込めません。
>2回根幹治療していると、歯が弱っているので、やはり抜歯になりますか?
歯が弱っているというより、添付された写真から察するに、歯を支えている ( た ) 骨が弱っているものと推測します。
精査してみなければ何とも言えませんが、抜歯の可能性は否定できません。
明後日の受診時に、よく診ていただきましょう。
>どこかCTを撮っていただき、それを持参して判断してもらう方がいいですか?
機種やモードによって繊細さが異なりますし、そもそも読影力の差異に大きく左右されますので、このケースの場合でしたら、無いより有れば、といった程度のように思います。
>普通はこのフロモックスで腫れは引くのでしょうか?
大なり小なりの軽減はあるかとは思いますが、薬剤の服用だけでは、根本的な治癒は見込めません。
>2回根幹治療していると、歯が弱っているので、やはり抜歯になりますか?
歯が弱っているというより、添付された写真から察するに、歯を支えている ( た ) 骨が弱っているものと推測します。
精査してみなければ何とも言えませんが、抜歯の可能性は否定できません。
明後日の受診時に、よく診ていただきましょう。
相談者からの返信相談者:
ひいらぎさん
返信日時:2026-01-14 00:55:48
回答2顕微鏡歯科シバタ(名古屋市守山区大森)の柴田です。
回答日時:2026-01-14 11:04:02
当然のことながら成功率は術者によって異なると思います。
>骨の吸収も再移植すれば戻るのでしょうか?
成功すればできてくると思います。
ただ歯根の亀裂や破折で腫れてきているのであれば、難易度は高くなるとおもいます。
>骨が痩せていても当日に再移植できるものですか
当日再植しなければ、成功率は格段に下がると思います。
>骨の吸収も再移植すれば戻るのでしょうか?
成功すればできてくると思います。
ただ歯根の亀裂や破折で腫れてきているのであれば、難易度は高くなるとおもいます。
>骨が痩せていても当日に再移植できるものですか
当日再植しなければ、成功率は格段に下がると思います。
| タイトル | [写真あり] 左下7番、2度目の根管治療から2ヵ月で歯茎の腫れと痛み |
|---|---|
| 質問者 | ひいらぎさん |
| 地域 | 非公開 |
| 年齢 | 63歳 |
| 性別 | 女性 |
| 職業 | 非公開 |
| カテゴリ |
神経の無い(神経を取った)歯の痛み 歯科治療後の歯の痛み 根管治療後の痛み 根管治療に関するトラブル その他(写真あり) |
| 回答者 |
|
- 上記書き込みの内容は、回答当時のものです。
- 歯科医療は日々発展しますので、回答者の考え方が変わることもあります。
- 保険改正により、保険制度や保険点数が変わっていることもありますのでご注意ください。







