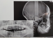
[写真あり] 13歳 先天性欠損で後続のない乳歯の抜歯矯正
相談者:
つぐことさん (50歳:女性)
投稿日時:2025-10-10 12:19:38
13歳の娘は後続のないEを3本抜歯して矯正する計画で、6番にバンド装着し間もなくEと唯一生え変わった5番1本を抜歯します。
治療計画書には
両突歯列
叢生歯列弓(歯と顎の大きさのアンバランス)
左側4番交差咬合
口唇閉鎖時に口腔周囲筋に緊張感
上顎左右5番、下顎右側5番先天性欠損
上顎前歯が大きい
と、後は医療機関と料金が書いてありるだけでした。
治療計画書とは、もっと詳しく書いてあるのかと思ってました。
以前、幅の大きなE3本抜歯しての矯正は前歯が引っ込みすぎないかと質問しましたが、逆に、1,2,3,4番対6,7番で引き合えば奥歯が前方に移動してしまい前歯は思うほど下がらないのでしょうか?
診断時に取っていたメモを改めて読み返してみると
「E抜歯の後、まず4番を後方に、次に3番を後方に。
上前歯のガタガタを治してから」
と言われてのを思い出しました。
と言うことはやはり引っ込み過ぎる傾向にあるのでしょうか?
まだ左上7が生えていません。
レントゲンを見ると左側7番が手前6番に引っ掛かっているように見えので衛生士さんに言うと
「矯正始めると6番も動いて解放されるので大丈夫ですよ」
と言われました。
それまでのんびり待っていても大丈夫なのでしょうか?
出っ歯ですが窮屈なほどの叢生でもないですし、欠損のスペースをどのように閉じられるのか詳しく聞きたいのですが、衛生士さんをいちいち経由して回答されるので聞きたいことが聞けずに終わります。
回答よろしくお願いいたします。
画像1
画像2
治療計画書には
両突歯列
叢生歯列弓(歯と顎の大きさのアンバランス)
左側4番交差咬合
口唇閉鎖時に口腔周囲筋に緊張感
上顎左右5番、下顎右側5番先天性欠損
上顎前歯が大きい
と、後は医療機関と料金が書いてありるだけでした。
治療計画書とは、もっと詳しく書いてあるのかと思ってました。
以前、幅の大きなE3本抜歯しての矯正は前歯が引っ込みすぎないかと質問しましたが、逆に、1,2,3,4番対6,7番で引き合えば奥歯が前方に移動してしまい前歯は思うほど下がらないのでしょうか?
診断時に取っていたメモを改めて読み返してみると
「E抜歯の後、まず4番を後方に、次に3番を後方に。
上前歯のガタガタを治してから」
と言われてのを思い出しました。
と言うことはやはり引っ込み過ぎる傾向にあるのでしょうか?
まだ左上7が生えていません。
レントゲンを見ると左側7番が手前6番に引っ掛かっているように見えので衛生士さんに言うと
「矯正始めると6番も動いて解放されるので大丈夫ですよ」
と言われました。
それまでのんびり待っていても大丈夫なのでしょうか?
出っ歯ですが窮屈なほどの叢生でもないですし、欠損のスペースをどのように閉じられるのか詳しく聞きたいのですが、衛生士さんをいちいち経由して回答されるので聞きたいことが聞けずに終わります。
回答よろしくお願いいたします。
画像1
画像2
[過去のご相談]
回答1船橋歯科医院(岡山市北区)の船橋です。
回答日時:2025-10-10 17:19:35
こんにちは。
長期にわたって継続してご相談に来られていますが、セファロ分析を行ってきちんと説明してくれる歯科医に出会われるとか、もうそろそろ納得できる説明を受けることができる時期ではないか?と思います。
歯科衛生士は矯正の説明を専門的に行えるほどの専門的な勉強をしてきていないでしょうから、直接歯科医から説明を行ってくれる矯正専門医に出会われるとよいのでしょう。
長期にわたって継続してご相談に来られていますが、セファロ分析を行ってきちんと説明してくれる歯科医に出会われるとか、もうそろそろ納得できる説明を受けることができる時期ではないか?と思います。
歯科衛生士は矯正の説明を専門的に行えるほどの専門的な勉強をしてきていないでしょうから、直接歯科医から説明を行ってくれる矯正専門医に出会われるとよいのでしょう。
相談者からの返信相談者:
つぐことさん
返信日時:2025-10-10 18:08:31
回答2船橋歯科医院(岡山市北区)の船橋です。
回答日時:2025-10-11 14:20:33
契約をされていてもまだ何もされていなければ検査費を除いて返金対象でしょう。
矯正専門医という事であれば精算の取り決めがあるはずですからね。
歯科衛生士ではなくきちんと診断と治療計画が立てられる歯科医から説明を受けて納得された上で開始してください。
その為にはセファロ分析などの分析の説明をきちんと受ける事ですね。
矯正専門医という事であれば精算の取り決めがあるはずですからね。
歯科衛生士ではなくきちんと診断と治療計画が立てられる歯科医から説明を受けて納得された上で開始してください。
その為にはセファロ分析などの分析の説明をきちんと受ける事ですね。
相談者からの返信相談者:
つぐことさん
返信日時:2025-10-13 12:46:23
船橋先生
現在疑問に思って歯科医院のホームページにお問い合わせフォームを見つけ、これこれなら現在ある疑問点を衛生士さんを介すことなく医院長にストレートに伝わるかと思い書き込みました。
すぐに連絡をいただき、その2日後にカウンセリングをしてもらいました。
セファロを見て、前歯は3ミリほど下がる。
上顎のEを抜いた大きなスペースは半分は前歯を後方に、奥歯を前方に移動させる。下顎は噛み合わせを考慮してすすめる。
左上7番は引っかかってはいないだろう。
とのことでした。
他にも沢山説明されましたが割愛します。
その他、これからもホームページから質問しても良いとのこと。
私のように細かいことが気になる親は安心です。
ただ、この医院を選んだのは院長がいくつかの矯正学会で指導医の資格をお持ちなこと、顎変形症や口唇裂についても資格をお持ちなことや、知識経験が豊富だと定期検診で通っている他院の先生も言っていました。
この矯正歯科の院長を慕って娘の矯正をお任せすることに決めたのですが、動的治療からの担当医が院長だと思っていたのですが違うようで、それは少し残念です。
院長がきちんと指導、管理するからということで納得はしてきました。
その後、左側の上Eと下5番を抜歯し、治療がスタートいたしました。
院長も話せば案外となんでも答えてくださり、これからも不安に思うことは都度質問したいと思います。
ありがとうございました。
現在疑問に思って歯科医院のホームページにお問い合わせフォームを見つけ、これこれなら現在ある疑問点を衛生士さんを介すことなく医院長にストレートに伝わるかと思い書き込みました。
すぐに連絡をいただき、その2日後にカウンセリングをしてもらいました。
セファロを見て、前歯は3ミリほど下がる。
上顎のEを抜いた大きなスペースは半分は前歯を後方に、奥歯を前方に移動させる。下顎は噛み合わせを考慮してすすめる。
左上7番は引っかかってはいないだろう。
とのことでした。
他にも沢山説明されましたが割愛します。
その他、これからもホームページから質問しても良いとのこと。
私のように細かいことが気になる親は安心です。
ただ、この医院を選んだのは院長がいくつかの矯正学会で指導医の資格をお持ちなこと、顎変形症や口唇裂についても資格をお持ちなことや、知識経験が豊富だと定期検診で通っている他院の先生も言っていました。
この矯正歯科の院長を慕って娘の矯正をお任せすることに決めたのですが、動的治療からの担当医が院長だと思っていたのですが違うようで、それは少し残念です。
院長がきちんと指導、管理するからということで納得はしてきました。
その後、左側の上Eと下5番を抜歯し、治療がスタートいたしました。
院長も話せば案外となんでも答えてくださり、これからも不安に思うことは都度質問したいと思います。
ありがとうございました。
| タイトル | [写真あり] 13歳 先天性欠損で後続のない乳歯の抜歯矯正 |
|---|---|
| 質問者 | つぐことさん |
| 地域 | 非公開 |
| 年齢 | 50歳 |
| 性別 | 女性 |
| 職業 | 非公開 |
| カテゴリ |
矯正で抜いた・抜く予定 歯列矯正の治療法 矯正関連 その他(写真あり) 歯の数が足りない(先天欠損) |
| 回答者 |
|
- 上記書き込みの内容は、回答当時のものです。
- 歯科医療は日々発展しますので、回答者の考え方が変わることもあります。
- 保険改正により、保険制度や保険点数が変わっていることもありますのでご注意ください。





